Ежедневно с 8:00 до 21:00

+7 (495) 987-21-21

пр. Ленина, д.21

+7 (495) 104-42-00

Отдел качества

+7 (495) 801-68-68

Общий номер

+7 (495) 987-21-21

пр. Ленина, д.21

+7 (495) 104-42-00

Отдел качества

Ежедневно с 8:00 до 21:00

Взрослая стоматология
+7 (495) 801-68-68

Общий номер

+7 (495) 987-21-21

пр. Ленина, д.21

+7 (495) 104-42-00

Отдел качества

Взрослая стоматология

Исправление прикуса

Прикус - это то, как смыкаются верхние и нижние зубы в момент полного контакта. В норме они встречаются ровной линией, образуя гармоничный ряд. Когда этого не происходит - это патология, которая рано или поздно дает о себе знать.

9 клиник

9 клиник

В 5 городах подмосковья:
Королёв, Мытищи, Щёлково, Пушкино и Балашиха.
с 1998 года

с 1998 года

Многолетний накопленный опыт и собственная научная база позволяет решать даже самые сложные случаи
250 тысяч пациентов

250 тысяч пациентов

Доверили нам своё здоровье.
80% из них
— пришли к нам по рекомендациям
-0

На что обращают внимание при патологическом прикусе

  • зубы стоят криво, им тесно или появились заметные промежутки (тремы, диастемы);
  • эмаль быстрее стирается, появляются вертикальные трещины;
  • десна опускается, обнажая корни зубов;
  • при открывании рта слышен щелчок, иногда шумит в ушах;
  • по утрам болит голова;
  • налет образуется быстрее обычного, потому что качественно почистить зубы сложно;
  • слизистая во рту постоянно травмируется.

Быстрая запись на приём

Оставьте номер телефона и администратор перезвонит Вам в течение 5 минут.

img

Спасибо!

Наши специалисты свяжутся с вами в ближайшее время.

Ежедневно с 8:00 до 21:00

+7 (495) 801-68-68

Общий номер

+7 (495) 987-21-21

пр. Ленина, д.21

+7 (495) 104-42-00

Отдел качества

Услуги

Услуги

Врачи направления

Все врачи

Цены на исправление прикуса

Все цены

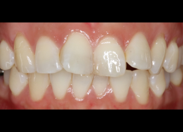
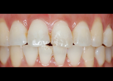
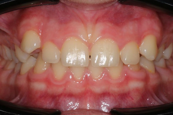
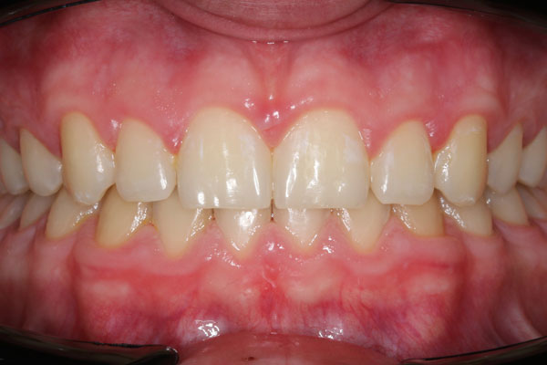
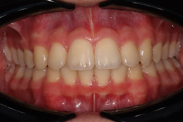
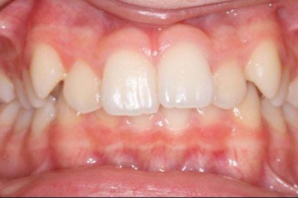
Исправление прикуса: фото До и После

Фото ДО
Фото ПОСЛЕ

Наведите для просмотра

Исправление прикуса

Фото ДО
Фото ПОСЛЕ

Наведите для просмотра

Исправление прикуса

Фото ДО
Фото ПОСЛЕ

Наведите для просмотра

Исправление прикуса

Фото ДО
Фото ПОСЛЕ

Наведите для просмотра

Исправление прикуса

Фото ДО
Фото ПОСЛЕ

Наведите для просмотра

Исправление прикуса

Фото ДО
Фото ПОСЛЕ

Наведите для просмотра

Исправление прикуса

Наши клиники

Клиника в г. Балашиха

Наши лицензии

Лечение проводится на основании действующих медицинских лицензий Л041-01162-50/00360420 и Л041-01162-50/00367813. Это гарантирует, что все процедуры — от диагностики до реставрации — выполняются безопасно, с использованием сертифицированных материалов и оборудования, в строгом соответствии с российскими стандартами.

Л041-01162-50/00360420 Л041-01162-50/00360420

Открыть PDF
Л041-01162-50/00367813-1 Л041-01162-50/00367813

Л041-01162-50/00367813-2 Л041-01162-50/00367813

Л041-01162-50/00367813-3 Л041-01162-50/00367813

Л041-01162-50/00367813-4 Л041-01162-50/00367813

Л041-01162-50/00367813-5 Л041-01162-50/00367813

Л041-01162-50/00367813-6 Л041-01162-50/00367813

Л041-01162-50/00367813-7 Л041-01162-50/00367813

Л041-01162-50/00367813-8 Л041-01162-50/00367813

Л041-01162-50/00367813 Л041-01162-50/00367813

Открыть PDF

Сколько стоит исправление прикуса

Точная стоимость определяется после очной консультации и диагностики у ортодонта. На итоговую цену влияют три фактора: сложность клинического случая, выбранная ортодонтическая система и сроки лечения.

Почему стоит исправить прикус

  • Вы выглядите привлекательнее. Восстанавливаются гармоничные пропорции лица, черты становятся мягче, улыбка - естественной и открытой.
  • Уходят головные боли и напряжение. Снимается избыточная нагрузка с жевательных мышц и височно-нижнечелюстного сустава, исчезают дискомфорт в висках и привычная усталость лица к вечеру.
  • Здоровье организма получает ресурс. Пища пережевывается качественнее, что снижает риск гастритов, колитов и других проблем с желудочно-кишечным трактом.
  • Зубы и десны остаются целыми дольше. Нормализуется нагрузка на каждый зуб, предотвращается их стираемость, сколы и повышенная чувствительность, снижается риск заболеваний пародонта.
  • Речь становится четкой, а голос - уверенным. Правильное положение челюстей улучшает дикцию, что особенно важно в общении, на переговорах и публичных выступлениях.
  • Ухаживать за полостью рта проще. Когда зубы стоят ровно, между ними нет труднодоступных участков, где скапливается налет. Гигиена становится эффективной, а риск кариеса и воспаления десен снижается в разы.

Иногда ортодонтическое лечение мы рекомендуем не только ради красивой улыбки, но и как обязательную подготовку к другим стоматологическим процедурам. Например, перед имплантацией или протезированием, если зубы успели сместиться и нарушилась окклюзия. Также советуем не обходить вниманием консультацию гнатолога - это помогает решить более глубокие проблемы челюстно-лицевой системы.

Как исправляют прикус у взрослых

У взрослых пациентов основным и самым предсказуемым методом коррекции остаются брекет-системы. Они справляются с большинством клинических ситуаций и дают стабильный результат.

Однако в ряде случаев можно обойтись без брекетов. Альтернативой служат:

  • прозрачные элайнеры (каппы);
  • съемные ортодонтические аппараты;
  • ортопедические конструкции - коронки или виниры.

Если случай сложный и аномалия прикуса выражена значительно, единственным вариантом может стать хирургическое вмешательство в сочетании с ортодонтической подготовкой.

Исправление прикуса брекетами

Брекет-системы - это несъемные ортодонтические конструкции, которые состоят из замочков (самих брекетов) и металлической дуги, проходящей через них. Дуга постоянно стремится вернуться в исходную форму, создавая контролируемое усилие, благодаря которому зубы постепенно выравниваются и занимают правильное положение.

Современная ортодонтия предлагает несколько видов брекет-систем:

  • Вестибулярные - классический вариант, крепятся с внешней стороны зубов.
  • Лингвальные - фиксируются с внутренней (язычной) стороны, незаметны для окружающих.
  • Лигатурные - дуга удерживается в пазах с помощью резиновых или металлических лигатур.
  • Самолигирующие (безлигатурные) - дуга фиксируется за счет встроенных замочков, без использования резинок.
  • Металлические - максимально прочные, надежные, справляются даже с серьезными аномалиями.
  • Керамические и сапфировые - эстетичные варианты, менее заметны на зубах.

Показания: подходят как для взрослых пациентов, так и для детей после формирования постоянного прикуса.

Преимущества

  • Эффективно решают практически любые ортодонтические задачи: сложные виды прикуса, выраженную скученность, диастемы.
  • Широкий выбор систем позволяет подобрать оптимальный вариант под любые эстетические предпочтения и бюджет.

Недостатки

  • Период адаптации может сопровождаться дискомфортом и болезненностью.
  • Конструкция заметна на зубах (кроме лингвальных брекетов).
  • Требуют более тщательной гигиены и ограничений в питании.
  • При недостаточном уходе повышается риск развития кариеса вокруг замочков.

Элайнеры

Элайнеры - это прозрачные каппы из медицинского силикона, которые изготавливаются индивидуально под каждого пациента. Чтобы добиться результата, их необходимо носить не менее 20 часов в сутки, снимая только на время еды и чистки зубов.

В процессе лечения пациент последовательно меняет несколько наборов капп - от более эластичных к более плотным - каждый из которых делает небольшой шаг к правильному положению зубов.

Показания: подходят для взрослых и подростков с легкой или средней степенью искривления зубного ряда.

Преимущества

  • Остаются незаметными для окружающих, улыбка сохраняет естественный вид.
  • Уход простой: каппы легко снимаются и чистяся отдельно.
  • Нет ограничений в питании - перед едой их просто снимают.
  • Во время лечения можно проводить отбеливание зубов.

Недостатки

  • Надежно зафиксировать каппы на зубах невозможно, они съемные.
  • Результат напрямую зависит от дисциплины пациента - сложно контролировать, насколько регулярно носится каппа, особенно у подростков.
  • Не справляются со сложными клиническими случаями и серьезными аномалиями прикуса.

Что выбрать: брекеты или элайнеры

Критерий Брекеты Элайнеры
Клинические возможности Корректируют практически любые аномалии прикуса Эффективны при легких и средних дефектах
Ощущения в процессе Требуют времени на привыкание, возможен дискомфорт Ощущаются комфортнее, адаптация мягче
Внешний вид Зависит от выбранной системы: от заметных металлических до почти невидимых лингвальных Максимально эстетичны, на зубах практически не видны
График посещений От 1 раза в 1-3 месяца в зависимости от типа конструкции Раз в 3 месяца - для выдачи следующего комплекта капп
Ежедневный уход Требуют особой тщательности; при недостаточной гигиене высок риск кариеса Не усложняют гигиену, эмаль и десны остаются в безопасности
Завершающий этап После снятия - профессиональная гигиена и ретенционный период После окончания лечения - профессиональная гигиена и ретенционный период
Фиксация результата Обязательны ретейнеры для закрепления Обязательны ретейнеры для закрепления

Альтернативные методы исправления прикуса

Виниры и коронки

Виниры представляют собой тонкие керамические пластинки, которые крепятся на переднюю поверхность зубов с помощью стоматологического цемента. Перед фиксацией зуб слегка обтачивается. В отличие от коронок, виниры закрывают только видимую часть зуба, не охватывая его полностью.

Показания: эстетические несовершенства в зоне улыбки - щели между зубами (диастемы, тремы), небольшой разворот резцов.

Преимущества

  • Служат более доступной и быстрой альтернативой ортодонтическому лечению.

Недостатки

  • Требуют обточки зубов, в ряде случаев - депульпирования;
  • Не применяются для выравнивания жевательных зубов (моляров, премоляров);
  • Бессильны при серьезных аномалиях прикуса.

Трейнеры

Трейнеры - это съемные каппы из мягкого полиуретана, напоминающие спортивные шины. Они фиксируют челюсти в физиологичном положении и используются преимущественно в ночное время, а также на несколько часов днем.

Показания

  • Коррекция прикуса у взрослых и детей;
  • Вспомогательный этап при лечении на брекетах;
  • Закрепление результата после окончания ортодонтического лечения.

Преимущества

  • Доступная стоимость;
  • Хорошо зарекомендовали себя для коррекции нарушений прикуса в детском возрасте (сменный прикус).

Недостатки: ограниченная сфера применения, не справляются со сложными случаями.

Ортодонтические аппараты

Это пластинки с металлическими элементами: кламмерами (крючками), кольцами, винтами и дугами, которые создают направленное давление на зубы. Конструкции могут быть съемными и несъемными. Основная часть аппарата располагается на небе или под языком, а кольца и кламмеры фиксируются на опорных зубах.

Преимущества: позволяют корректировать различные виды нарушений прикуса.

Недостатки: требуют привыкания, заметны во рту, могут влиять на дикцию и вызывать дискомфорт.

Этапы исправления неправильного прикуса

1. Диагностика

Специалист проводит осмотр зубочелюстной системы, назначает рентгенологическое исследование. На этом этапе совместно с пациентом обсуждаются возможные способы коррекции и стоимость лечения.

2. Планирование и подготовка

Ортодонт снимает слепки, изготавливает диагностические модели, выполняет 3D-планирование результата (для брекет-систем или элайнеров). На основе полученных данных изготавливаются брекеты, наборы капп или другие ортодонтические конструкции.

Важно: перед началом ортодонтического лечения обязательно проводится санация полости рта - устраняются все очаги воспаления, вылечиваются зубы и десны, выполняется профессиональная гигиена (удаление зубного камня и налета).

3. Основной этап лечения

На зубы фиксируется ортодонтическая система (занимает 1-2 визита), пациент получает подробные инструкции по уходу и эксплуатации. В процессе лечения пациент посещает врача каждые 1-3 месяца для активации системы и контроля динамики.

4. Закрепление результата

После снятия брекетов пациенту устанавливаются ретейнеры или изготавливается ретенционная каппа, чтобы зубы не вернулись в исходное положение.

Консилиум врачей в подарок Получить подарок