Ежедневно с 8:00 до 21:00

+7 (495) 987-21-21

пр. Ленина, д.21

+7 (495) 104-42-00

Отдел качества

+7 (495) 801-68-68

Общий номер

+7 (495) 987-21-21

пр. Ленина, д.21

+7 (495) 104-42-00

Отдел качества

Ежедневно с 8:00 до 21:00

Взрослая стоматология
+7 (495) 801-68-68

Общий номер

+7 (495) 987-21-21

пр. Ленина, д.21

+7 (495) 104-42-00

Отдел качества

Взрослая стоматология

Эстетическая стоматология

Сияющая, безупречная улыбка — это ваш главный акцент, признак здоровья и уверенности. Эстетическая стоматология в клинике «Интердентос» в Балашихе призвана сделать эту улыбку идеальной. Мы решаем широкий спектр задач: от восстановления формы и цвета одного зуба до полного преображения зоны улыбки. Используя передовые материалы и технологии, наши специалисты виртуозно восстанавливают красоту зубов, делая ее естественной, гармоничной и долговечной. Откройте миру свою самую совершенную улыбку.
9 клиник

9 клиник

В 5 городах подмосковья:
Королёв, Мытищи, Щёлково, Пушкино и Балашиха.
с 1998 года

с 1998 года

Многолетний накопленный опыт и собственная научная база позволяет решать даже самые сложные случаи
250 тысяч пациентов

250 тысяч пациентов

Доверили нам своё здоровье.
80% из них
— пришли к нам по рекомендациям
-0

Искусство эстетической реставрации: как мы создаем идеальные улыбки в Балашихе

Эстетическая стоматология — это высокотехнологичное искусство, где врач выступает в роли скульптора и художника. В клинике «Интердентос» мы не просто маскируем недостатки, а воссоздаем естественную красоту зуба, учитывая его оптические свойства: прозрачность, опалесценцию и индивидуальные особенности вашей эмали.

Ключевые направления нашей работы:

Художественная реставрация зубов. С помощью современных композитных материалов мы восстанавливаем сколы, закрываем щели (диастемы), корректируем форму и размер зубов непосредственно в полости рта. Эта методика позволяет достичь великолепного результата всего за одно посещение.

Виниры и люминиры. Для кардинального преображения улыбки мы предлагаем ультратонкие керамические накладки. Они кардинально меняют цвет, форму, скрывают незначительные неровности и следы от старых пломб. Виниры из диоксида циркония или прессованной керамики обладают идеальной эстетикой, прочностью и долговечностью.

Эстетическое протезирование (вкладки, накладки, коронки). Если зуб сильно разрушен, мы восстанавливаем его не пломбой, а индивидуальной микропротезой, изготовленной в лаборатории. Керамические или циркониевые вкладки/накладки (виртуальные виниры) точнее повторяют анатомию, лучше прилегают и служат десятилетиями.

Профессиональное отбеливание. Безопасные и эффективные системы клинического отбеливания под контролем врача позволяют осветлить зубы на несколько тонов, устраняя пигментацию от кофе, чая, вина и табака.

Наш подход: от дизайна к результату. Мы начинаем с цифрового или воскового моделирования улыбки (Smile Design), чтобы вы могли увидеть будущий результат еще до начала лечения. При создании виниров и коронок мы используем технологию CAD/CAM для безупречной точности, а цвет подбирается по шкале Vita с учетом индивидуальных особенностей.

Быстрая запись на приём

Оставьте номер телефона и администратор перезвонит Вам в течение 5 минут.

img

Спасибо!

Наши специалисты свяжутся с вами в ближайшее время.

Ежедневно с 8:00 до 21:00

+7 (495) 801-68-68

Общий номер

+7 (495) 987-21-21

пр. Ленина, д.21

+7 (495) 104-42-00

Отдел качества

Услуги

Услуги

Наше оборудование

CEREC - технология художественной реставрации зубов за 2 часа

CEREC - технология художественной реставрации зубов за 2 часа

CAD/CAM система CEREC позволяет проводить лечение и протезирование зубов быстро и с высокой точностью – благодаря специальному сканеру, воспроизводящему модель зуба в 3D. CEREC Omnicam, MEDIT  i700,  PrimeScan.
Дентальный микроскоп

Дентальный микроскоп

Использование ультрасовременных дентальных микроскопов создает уникальные возможности для спасения «безнадежных зубов». Микроскопы:  Advanced,  Karl Kaps,  Carl Zeiss EXTARO 300, Prima D с вариоскопом.
3D томограф Galileos

3D томограф Galileos

Охватывает всю зубочелюстную систему, включая пазухи. А благодаря 3D-моделированию аппарат  позволяет повысить диагностическую точность и виртуально спланировать наиболее эффективное лечение.
Дентальный компьютерный томограф Planmeca ProMax

Дентальный компьютерный томограф Planmeca ProMax

Уникальный компьютерный томограф для качественной диагностики  и планирования лечения
Sleeper One - электронная система анестезии

Sleeper One - электронная система анестезии

Система анестезии нового поколения, объём, скорость и давление подачи препарата контролируется электронной системой. Специальные иглы обеспечивают безболезненность и снижают травматичность тканей.
ICON - лечение кариеса без препарирования

ICON - лечение кариеса без препарирования

ICON - специальный препарат в виде геля, который наносится на участок зуба и глубоко проникает в его ткани, уничтожая кариозные образования и укрепляя ткани зуба.
SAF - революция в лечении зубных каналов

SAF - революция в лечении зубных каналов

Самоадаптирующийся файл из сплава никеля и титана - эффективен в самых сложных случаях лечения каналов, максимально сохраняет здоровые ткани и форму каналов.
Стоматологическая установка DENTSPLY SIRONA

Стоматологическая установка DENTSPLY SIRONA

Признаны стоматологами во всём мире, как наиболее совершенные и комфортные, обладающие передовыми характеристиками. Обладают наградами iF Design Gold Award и German Design Award.
Интраоральный 3D-сканер

Интраоральный 3D-сканер

3D-сканирование можно назвать новым стандартом в стоматологической практике, который становится всё более распространенным. 3D-сканер позволяет достичь высочайшей точности и качества в протезировании.

Цены

Все цены

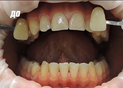
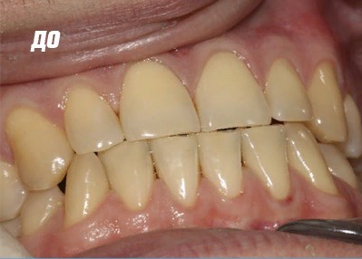
Эстетическая стоматология: фото До и После

Фото ДО
Фото ПОСЛЕ

Наведите для просмотра

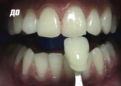
Отбеливание зубов

Фото ДО
Фото ПОСЛЕ

Наведите для просмотра

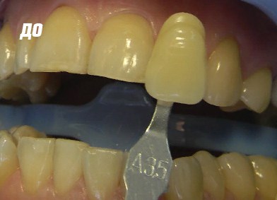
Отбеливание зубов

Фото ДО
Фото ПОСЛЕ

Наведите для просмотра

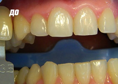
Отбеливание

Фото ДО
Фото ПОСЛЕ

Наведите для просмотра

Отбеливание

Фото ДО
Фото ПОСЛЕ

Наведите для просмотра

Виниры

Фото ДО
Фото ПОСЛЕ

Наведите для просмотра

Виниры

Фото ДО
Фото ПОСЛЕ

Наведите для просмотра

Виниры

Фото ДО
Фото ПОСЛЕ

Наведите для просмотра

Отбеливание зубов

Фото ДО
Фото ПОСЛЕ

Наведите для просмотра

Отбеливание зубов

Наши клиники

Клиника в г. Балашиха

Наши лицензии

Лечение проводится на основании действующих медицинских лицензий Л041-01162-50/00360420 и Л041-01162-50/00367813. Это гарантирует, что все процедуры — от диагностики до реставрации — выполняются безопасно, с использованием сертифицированных материалов и оборудования, в строгом соответствии с российскими стандартами.

Л041-01162-50/00360420 Л041-01162-50/00360420

Открыть PDF
Л041-01162-50/00367813-1 Л041-01162-50/00367813

Л041-01162-50/00367813-2 Л041-01162-50/00367813

Л041-01162-50/00367813-3 Л041-01162-50/00367813

Л041-01162-50/00367813-4 Л041-01162-50/00367813

Л041-01162-50/00367813-5 Л041-01162-50/00367813

Л041-01162-50/00367813-6 Л041-01162-50/00367813

Л041-01162-50/00367813-7 Л041-01162-50/00367813

Л041-01162-50/00367813-8 Л041-01162-50/00367813

Л041-01162-50/00367813 Л041-01162-50/00367813

Открыть PDF

Виниры, реставрация и отбеливание зубов в «Интердентос»

Ищете стоматолога-эстетиста в Балашихе для создания безупречной улыбки? Клиника «Интердентос» предлагает полный комплекс услуг по художественной реставрации и эстетическому преображению зубов. Мы помогаем решить самые распространенные проблемы: потемнение эмали, сколы, щели между зубами, старые потемневшие пломбы, неровная форма или длина зубов.

Какие методы мы используем?

Прямая реставрация композитами. Проводится за одно посещение. Врач послойно наносит фотополимерный материал, воссоздавая естественную анатомию и оттенок зуба. Это оптимальное решение для коррекции небольших дефектов.

Непрямая реставрация (виниры, вкладки, коронки). Для более серьезных изменений мы изготавливаем конструкции в зуботехнической лаборатории. Это обеспечивает высочайшую прочность, точность прилегания и максимальную эстетику, неотличимую от натуральных зубов.

Профессиональное отбеливание. Мы применяем проверенные системы (например, Zoom), которые под контролем врача дают предсказуемый и стойкий результат без вреда для эмали.

Почему стоит доверить улыбку специалистам «Интердентос»?

  • Фундаментальный подход. Наши врачи являются не просто терапевтами, а экспертами в области эстетической стоматологии, прошедшими специальное обучение.
  • Использование материалов премиум-класса. Мы работаем с керамикой и композитами от мировых лидеров (Ivoclar Vivadent, 3M, GC), которые обладают идеальной цветопередачей и долговечностью.
  • Командная работа с техником. В сложных случаях стоматолог тесно взаимодействует с зубным техником на всех этапах: от планирования улыбки до финальной окраски керамики, что гарантирует безупречный результат.
  • Комплексные решения. Мы можем объединить эстетическое лечение с ортодонтией (исправлением прикуса) или пародонтологией (лечением десен) для достижения идеальной гармонии.
  • Комфорт и предсказуемость. Мы используем современные методы обезболивания и детально планируем лечение, чтобы процесс был для вас максимально спокойным и понятным.

Ваша улыбка заслуживает самого лучшего. Запишитесь на консультацию к стоматологу-эстетисту в «Интердентос» в Балашихе, чтобы обсудить возможности преображения и получить детальный план вашей идеальной улыбки.

Консилиум врачей в подарок Получить подарок