Ежедневно с 8:00 до 21:00

+7 (495) 987-21-21

пр. Ленина, д.21

+7 (495) 104-42-00

Отдел качества

+7 (495) 801-68-68

Общий номер

+7 (495) 987-21-21

пр. Ленина, д.21

+7 (495) 104-42-00

Отдел качества

Ежедневно с 8:00 до 21:00

Взрослая стоматология
Протезирование
+7 (495) 801-68-68

Общий номер

+7 (495) 987-21-21

пр. Ленина, д.21

+7 (495) 104-42-00

Отдел качества

Взрослая стоматология

Протезирование

Ортопедическая стоматология – это раздел стоматологии, который занимается протезированием зубов по определенным стоматологическим методикам и целью которых есть восстановление целостности зубного ряда. Протезирование зубов подразделяют на такие виды как: микропротезирование, съемное протезирование,  несъемное протезирование, несъемное протезирование на имплантах, съемное протезирование со стабилизацией на имплантах.

Зубопротезные конструкции изготавливаются зубными техниками в зуботехнической лаборатории.

В нашей стоматологии представлены все возможные виды протезирования зубов.

9 клиник

9 клиник

В 5 городах подмосковья:
Королёв, Мытищи, Щёлково, Пушкино и Балашиха.
с 1998 года

с 1998 года

Многолетний накопленный опыт и собственная научная база позволяет решать даже самые сложные случаи
250 тысяч пациентов

250 тысяч пациентов

Доверили нам своё здоровье.
80% из них
— пришли к нам по рекомендациям
-0

Виды зубных протезов

  • Съемные конструкции, чаще всего, используются как временный вариант на период изготовления постоянного протеза. Для их производства используется прочная пластмасса высокого класса качества. Они могут замещать полный ряд или один (несколько) зубов.
  • Несъемные протезы являются полноценной заменой естественных зубов и в функциональном, и в эстетическом смысле. При правильном уходе они прослужат пациенту на протяжении десятков лет. В зависимости от пожеланий и особенностей каждого конкретного случая, возможно изготовление протезов из керамики, металлокерамики, диоксида циркония. Могут быть выполнены в виде коронок, мостовидных протезов, вкладок.
  • Самый прогрессивный вид протезов – имплантаты. Это конструкции, изготовленные с учетом индивидуальных ортопедических особенностей пациента. Состоят из полноценной имитации зуба, который крепится на стержень и вживляется в челюстную кость. Технология протезирования имплантатами не подразумевает обтачивания здоровых зубов.

Стоимость протезирования зависит от объёма, выбранного пациентом материала, вида протезов. Высокое качество материалов, профессионализм и грамотность специалистов – гарантия отличного результата.

Быстрая запись на приём

Оставьте номер телефона и администратор перезвонит Вам в течение 5 минут.

img

Спасибо!

Наши специалисты свяжутся с вами в ближайшее время.

Ежедневно с 8:00 до 21:00

+7 (495) 801-68-68

Общий номер

+7 (495) 987-21-21

пр. Ленина, д.21

+7 (495) 104-42-00

Отдел качества

Услуги

Услуги

Услуги

Съемное протезирование

Несъемное протезирование

Врачи ортопедического отделения

Все врачи

Наше оборудование

CEREC - технология художественной реставрации зубов за 2 часа

CEREC - технология художественной реставрации зубов за 2 часа

CAD/CAM система CEREC позволяет проводить лечение и протезирование зубов быстро и с высокой точностью – благодаря специальному сканеру, воспроизводящему модель зуба в 3D. CEREC Omnicam, MEDIT  i700,  PrimeScan.
Дентальный микроскоп

Дентальный микроскоп

Использование ультрасовременных дентальных микроскопов создает уникальные возможности для спасения «безнадежных зубов». Микроскопы:  Advanced,  Karl Kaps,  Carl Zeiss EXTARO 300, Prima D с вариоскопом.
3D томограф Galileos

3D томограф Galileos

Охватывает всю зубочелюстную систему, включая пазухи. А благодаря 3D-моделированию аппарат  позволяет повысить диагностическую точность и виртуально спланировать наиболее эффективное лечение.
Артикулятор

Артикулятор

Является универсальным прибором для диагностики и терапии, он имитирует жевательные движения, точно определяя анатомические особенности пациента и незаменим при изготовлении ортопедических конструкций.
Дентальный компьютерный томограф Planmeca ProMax

Дентальный компьютерный томограф Planmeca ProMax

Уникальный компьютерный томограф для качественной диагностики  и планирования лечения
Sleeper One - электронная система анестезии

Sleeper One - электронная система анестезии

Система анестезии нового поколения, объём, скорость и давление подачи препарата контролируется электронной системой. Специальные иглы обеспечивают безболезненность и снижают травматичность тканей.
Стоматологическая установка DENTSPLY SIRONA

Стоматологическая установка DENTSPLY SIRONA

Признаны стоматологами во всём мире, как наиболее совершенные и комфортные, обладающие передовыми характеристиками. Обладают наградами iF Design Gold Award и German Design Award.
Интраоральный 3D-сканер

Интраоральный 3D-сканер

3D-сканирование можно назвать новым стандартом в стоматологической практике, который становится всё более распространенным. 3D-сканер позволяет достичь высочайшей точности и качества в протезировании.

Цены на протезирование зубов

Все цены

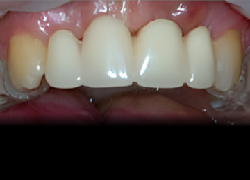
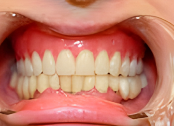
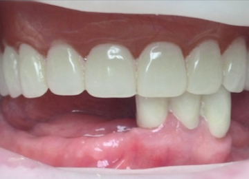
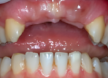
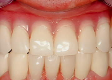
Протезирование: фото До и После

Фото ДО
Фото ПОСЛЕ

Наведите для просмотра

Зубные протезы Candulor

Фото ДО
Фото ПОСЛЕ

Наведите для просмотра

Зубные протезы Candulor

Фото ДО
Фото ПОСЛЕ

Наведите для просмотра

Зубные протезы Candulor

Фото ДО
Фото ПОСЛЕ

Наведите для просмотра

Акри Фри

Фото ДО
Фото ПОСЛЕ

Наведите для просмотра

Акри Фри

Фото ДО
Фото ПОСЛЕ

Наведите для просмотра

Акри Фри

Фото ДО
Фото ПОСЛЕ

Наведите для просмотра

Нейлоновые протезы

Фото ДО
Фото ПОСЛЕ

Наведите для просмотра

Нейлоновые протезы

Фото ДО
Фото ПОСЛЕ

Наведите для просмотра

Нейлоновые протезы

Фото ДО
Фото ПОСЛЕ

Наведите для просмотра

Квадротти протезы

Фото ДО
Фото ПОСЛЕ

Наведите для просмотра

Квадротти протезы

Фото ДО
Фото ПОСЛЕ

Наведите для просмотра

Квадротти протезы

Наши клиники

Клиника в г. Балашиха

Наши лицензии

Лечение проводится на основании действующих медицинских лицензий Л041-01162-50/00360420 и Л041-01162-50/00367813. Это гарантирует, что все процедуры — от диагностики до реставрации — выполняются безопасно, с использованием сертифицированных материалов и оборудования, в строгом соответствии с российскими стандартами.

Л041-01162-50/00360420 Л041-01162-50/00360420

Открыть PDF
Л041-01162-50/00367813-1 Л041-01162-50/00367813

Л041-01162-50/00367813-2 Л041-01162-50/00367813

Л041-01162-50/00367813-3 Л041-01162-50/00367813

Л041-01162-50/00367813-4 Л041-01162-50/00367813

Л041-01162-50/00367813-5 Л041-01162-50/00367813

Л041-01162-50/00367813-6 Л041-01162-50/00367813

Л041-01162-50/00367813-7 Л041-01162-50/00367813

Л041-01162-50/00367813-8 Л041-01162-50/00367813

Л041-01162-50/00367813-9 Л041-01162-50/00367813

Почему стоит обратиться в клинику «Интердентос»:

  • все процедуры полностью безболезненны;
  • применяются материалы исключительно высокого класса, работают только высококвалифицированные стоматологи, которые постоянно повышают уровень профессионализма;
  • высокая скорость изготовления протезов: для этого в нашей клинике есть собственная зуботехническая лаборатория;
  • выполнение любых ортопедических манипуляций на культевых вкладках, естественных зубах, имплантатах;
  • на период изготовления постоянных конструкций устанавливаются временные для маскировки эстетических недостатков;
  • гарантия безопасности и качества в соответствии со стандартами здравоохранения.