Терапевтическая стоматология
Терапевтическая стоматология занимается лечением кариеса и его осложнений ( пульпита, периодонтита, периостита) и болезней зубов некариозного происхождения.
Взрослая стоматология
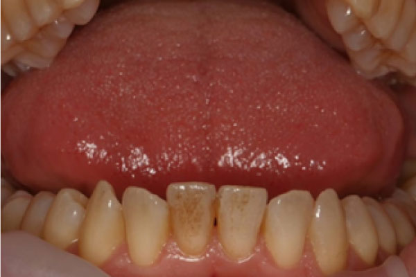
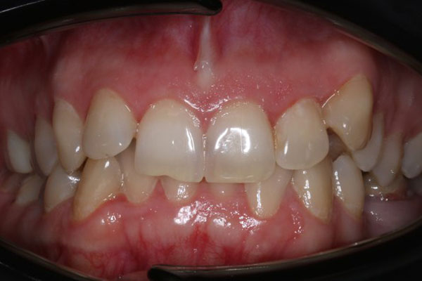
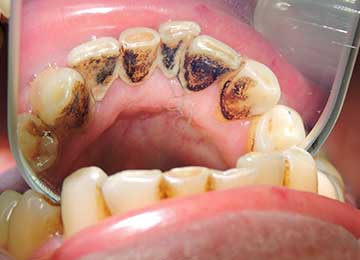
Кариес — патологический процесс, начинающийся после прорезывания зубов, с образованием полости под действием эндо- и экзогенных факторов. Это необратимый процесс, требующий обязательного лечения (удаление пораженных кариесом тканей зуба и восстановление анатомической формы зуба с помощью специальных материалов). Кариес — очень распространённое заболевание. По статистике, 95-98% взрослого населения имеют запломбированные зубы.
Статьи
Врачи направления:
Применяемые технологии:
Наши лицензии:
Пульпит — воспаление сосудисто-нервного пучка зуба (пульпы). Наиболее часто пульпит является осложнением кариеса, а также может быть следствием ошибочных действий при препарировании зуба под ортопедические конструкции, некачественные пломбы, оперативные вмешательства на пародонте, воздействие химических веществ). Пульпиты подразделяются на острые и хронические. Под острым пульпитом понимают состояние, когда инфекция проникла в пульпу при закрытой пульпарной камере (через тонкую стенку разрушенного кариесом зуба). Хронические пульпиты чаще всего являются исходом острого. Основные признаки острого пульпита — очень сильные боли, которые усиливаются ночью. Боли носят периодический характер.
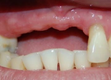
Периодонтит — это воспаление периодонта, характеризующееся нарушением целостности связок, удерживающих зуб в кости, окружающей зуб и резорбции костной ткани. Инфекционный периодонтит в основном является осложнением кариеса. Травматический периодонтит возникает в результате как значительного, однократного воздействия (удар при падении или попадании в лицо твёрдых тяжёлых предметов), так и вследствие незначительной, но хронической травмы (завышенная пломба, откусывание проволоки или нитки при отсутствии рядом стоящих зубов).
Периостит — воспаление надкостницы[5]; применительно к челюсти периостит часто называют флюсом[6] и выражается в опухании десны, сопровождающейся сильной болью. В результате воспалительных заболеваний зубов (периодонтит и пульпит), может развиться периостит челюсти. Реже заболевание возникает после открытых челюстных переломов и ран мягких тканей. Также воспаление надкостницы может проявиться в результате попадания инфекции через кровеносную и лимфатическую системы от инфицированных органов. Заболевание начинается с небольшого опухания десны. Позже отёчность увеличивается и вместе с ней увеличивается и боль. Через день-два образовывается абсцесс, который является причиной отёка щеки и губ.
Болезни зубов некариозного происхождения - Гипоплазия, Флюороз, Клиновидный дефект, Эрозия зубов, Некроз твердых тканей зубов, Гиперестезия зубов, Патологическая стираемость зубов, Травма зубов — острая и хроническая.
Отзывы наших пациентов:


группа Вконтакте
канал в Телеграм




Семейная клиника