Ежедневно с 8:00 до 21:00

+7 (495) 987-21-21

пр. Ленина, д.21

+7 (495) 104-42-00

Отдел качества

+7 (495) 801-68-68

Общий номер

+7 (495) 987-21-21

пр. Ленина, д.21

+7 (495) 104-42-00

Отдел качества

Ежедневно с 8:00 до 21:00

Взрослая стоматология
+7 (495) 801-68-68

Общий номер

+7 (495) 987-21-21

пр. Ленина, д.21

+7 (495) 104-42-00

Отдел качества

Взрослая стоматология

Детская стоматология

Детская стоматология лечит зубы у детей от 0 до 16 лет — до смены молочных зубов на постоянные и завершения формирования их корней (апексогенез). Кариес лидирует среди хронических болезней у детей, встречаясь в 5–8 раз чаще бронхиальной астмы. Им страдают 80–90% детей с молочным прикусом и ~80% подростков к окончанию школы. У детей кариес быстро переходит в пульпит и периодонтит, вызванный инфекцией из воспаленной пульпы (микроорганизмы, токсины, биогенные амины).
9 клиник

9 клиник

В 5 городах подмосковья:
Королёв, Мытищи, Щёлково, Пушкино и Балашиха.
с 1998 года

с 1998 года

Многолетний накопленный опыт и собственная научная база позволяет решать даже самые сложные случаи
250 тысяч пациентов

250 тысяч пациентов

Доверили нам своё здоровье.
80% из них
— пришли к нам по рекомендациям
-0

Полный комплекс стоматологических услуг для малышей и подростков

Почему возникает кариес у малышей?
Даже у самых маленьких пациентов кариес может развиться по нескольким причинам:

  • Патологическое течение беременности у мамы, приводящее к системной гипоплазии эмали молочных зубов с последующим кариесом.
  • Недостаток кальция в организме ребенка.
  • Избыток углеводов и дефицит белка в рационе.
  • Проявления рахита из-за нехватки витамина D3.
  • Наследственность и генетические аномалии.
  • Недостаточная гигиена полости рта.

Не ждите осложнений! Регулярные осмотры с 1 года помогут предотвратить проблемы. Запишитесь на консультацию сегодня — мы ежедневно заботимся о здоровой и красивой улыбке ваших детей!

Быстрая запись на приём

Оставьте номер телефона и администратор перезвонит Вам в течение 5 минут.

img

Спасибо!

Наши специалисты свяжутся с вами в ближайшее время.

Ежедневно с 8:00 до 21:00

+7 (495) 801-68-68

Общий номер

+7 (495) 987-21-21

пр. Ленина, д.21

+7 (495) 104-42-00

Отдел качества

Полный спектр услуг

Детские стоматологи

Все врачи

Наше оборудование

3D томограф Galileos

3D томограф Galileos

Охватывает всю зубочелюстную систему, включая пазухи. А благодаря 3D-моделированию аппарат  позволяет повысить диагностическую точность и виртуально спланировать наиболее эффективное лечение.
ICON - лечение кариеса без препарирования

ICON - лечение кариеса без препарирования

ICON - специальный препарат в виде геля, который наносится на участок зуба и глубоко проникает в его ткани, уничтожая кариозные образования и укрепляя ткани зуба.
SAF - революция в лечении зубных каналов

SAF - революция в лечении зубных каналов

Самоадаптирующийся файл из сплава никеля и титана - эффективен в самых сложных случаях лечения каналов, максимально сохраняет здоровые ткани и форму каналов.
Стоматологическая установка DENTSPLY SIRONA

Стоматологическая установка DENTSPLY SIRONA

Признаны стоматологами во всём мире, как наиболее совершенные и комфортные, обладающие передовыми характеристиками. Обладают наградами iF Design Gold Award и German Design Award.

Цены на детскую стоматологию

Все цены

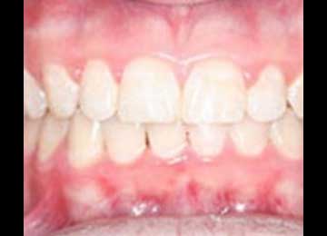
Примеры лечения зубов детям

Фото ДО
Фото ПОСЛЕ

Наведите для просмотра

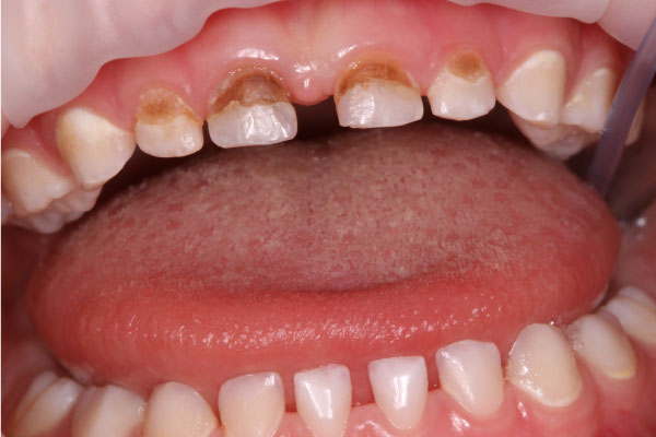
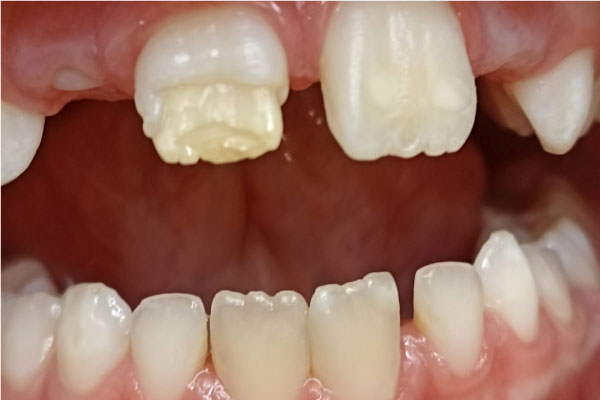
Реставрация скола переднего зуба у ребенка

Фото ДО
Фото ПОСЛЕ

Наведите для просмотра

Лечение кариеса молочных зубов

Фото ДО
Фото ПОСЛЕ

Наведите для просмотра

Восстановление зуба после травмы

Фото ДО
Фото ПОСЛЕ

Наведите для просмотра

Коронки на передние молочные зубы

Фото ДО
Фото ПОСЛЕ

Наведите для просмотра

Эстетическая реставрация молочных зубов

Фото ДО
Фото ПОСЛЕ

Наведите для просмотра

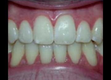
Восстановление молочного зуба

Фото ДО
Фото ПОСЛЕ

Наведите для просмотра

Капа для выравнивая зубов

Фото ДО
Фото ПОСЛЕ

Наведите для просмотра

Исправление прикуса у детей

Фото ДО
Фото ПОСЛЕ

Наведите для просмотра

Исправление прикуса у детей

Фото ДО
Фото ПОСЛЕ

Наведите для просмотра

Лечение пульпита молочных + восстановление стальной коронкой

Фото ДО
Фото ПОСЛЕ

Наведите для просмотра

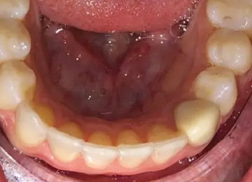
Лечение детского кариеса

Фото ДО
Фото ПОСЛЕ

Наведите для просмотра

Коронки на молочные зубы

Наши клиники

Клиника в г. Балашиха

Наши лицензии

Лечение проводится на основании действующих медицинских лицензий Л041-01162-50/00360420 и Л041-01162-50/00367813. Это гарантирует, что все процедуры — от диагностики до реставрации — выполняются безопасно, с использованием сертифицированных материалов и оборудования, в строгом соответствии с российскими стандартами.

Л041-01162-50/00360420 Л041-01162-50/00360420

Открыть PDF
Л041-01162-50/00367813-1 Л041-01162-50/00367813

Л041-01162-50/00367813-2 Л041-01162-50/00367813

Л041-01162-50/00367813-3 Л041-01162-50/00367813

Л041-01162-50/00367813-4 Л041-01162-50/00367813

Л041-01162-50/00367813-5 Л041-01162-50/00367813

Л041-01162-50/00367813-6 Л041-01162-50/00367813

Л041-01162-50/00367813-7 Л041-01162-50/00367813

Л041-01162-50/00367813-8 Л041-01162-50/00367813

Л041-01162-50/00367813 Л041-01162-50/00367813

Открыть PDF

Кариес и его осложнения

  • На этапе кариозного пятна кариес можно вылечить методом микроабразии (шлифовка верхних слоев эмали, с последующей реминерализацией пораженного участка) или обычным методом – удаление пораженных тканей бором и наложение пломбы;
  • Когда кариес поразил дентин, возможно лечение обычным методом. Однако, будьте осторожны – у детей кариес развивается стремительно, намного быстрее, чем у взрослых, и уже через три месяца после возникновения пятна может начаться пульпит (воспаление пульпы);
  • Пока пульпит в начальной стадии (обратимый пульпит), т.е. процесс не затронул корневую пульпу, он лечится методом ампутации коронковой пульпы, с наложением противоспалительной пасты: за два или три посещения;
  • Необратимый пульпит, т.е. диффузное воспаление пульпы, лечится у малышей с молочными зубами путем пломбирования корневых каналов пастами, содержащими гидроокись кальция. Если необратимый пульпит поразит только что выросшие постоянные зубы, у которых не завершилось формирование верхушек корней, процесс лечения может занять больше года и завершится только после окончательного формирования постоянного зуба у ребенка.
  • На стадии периодонтита (воспаление околокорневой костной ткани) лечение самое сложное и требует применения методики отсроченного пломбирования кальцийсодержащими препаратами, либо удаления молочного зуба для спасения зачатка постоянного зуба.

Способы профилактики кариеса в клинике

1. Герметизация (запечатывание) фиссур

Стоматолог заполняет специальным материалом естественные бороздки в зубе (фиссуры), поверхность зуба становится более ровной и на ней не остается углублений, недоступных зубной щётке. Остатки пищи и зубной налет удаляется эффективно и легко, а значит, существенно снижается риск возникновения кариеса.

2. Ремотерапия

Стоматолог проводит курс (5-10) процедур по насыщению эмали кальцием и минералами.

Что могут делать родители для предупреждения кариеса у детей?

  • Не позволять ребенку засыпать с бутылочкой (с молоком, питательными смесями, фруктовым соком или успокоительным средством, разведенным с сахаром или медом). Постарайтесь отказаться от ночного кормления и пустышек.
  • Заменить в рационе ребенка сахар на фруктозу и не знакомьте ребенка с карамельками и леденцами.
  • Уход за полостью рта начинать как можно раньше, еще до прорезывания зубов. Протирайте ребенку десны чистым  ватным диском, смоченным в растворе пищевой соды 1-2 раза в день.
  • Установить регулярность посещения стоматолога не реже, чем каждые 6 — ведь у детей кариес развивается быстрее, чем у взрослых. Сразу же после прорезывания первого зуба следить за малейшими его изменениями. Если вы заметите белые или темные пятна на зубе ребенка, следует немедленно обратиться к стоматологу.
  • Чистить зубы щеткой без пасты надо начинать сразу же после появления первых зубов. Зубную пасту и щетку начинать использовать при появлении у  ребенка всех 20 молочных зубов, обычно в возрасте 2-2,5 лет.
  • С появлением постоянных зубов сразу отправляться с ребенком к стоматологу на герметизацию фиссур.
  • Когда ребенок начнет самостоятельно чистить зубы, следите, чтобы он делал это правильно!

Полный комплекс стоматологических услуг для малышей и подростков

В нашей клинике мы предлагаем полный спектр услуг по лечению и профилактике зубных проблем у детей от малышей до подростков: от профессиональной чистки и фиссурного пломбирования до установки брекетов и коррекции прикуса. Особое внимание уделяем раннему выявлению кариеса, чтобы сохранить здоровую улыбку вашего ребенка.

Консилиум врачей в подарок Получить подарок