Ежедневно с 8:00 до 21:00

+7 (495) 987-21-21

пр. Ленина, д.21

+7 (495) 104-42-00

Отдел качества

+7 (495) 801-68-68

Общий номер

+7 (495) 987-21-21

пр. Ленина, д.21

+7 (495) 104-42-00

Отдел качества

Ежедневно с 8:00 до 21:00

Взрослая стоматология
+7 (495) 801-68-68

Общий номер

+7 (495) 987-21-21

пр. Ленина, д.21

+7 (495) 104-42-00

Отдел качества

Взрослая стоматология

Коронка на зуб

Зубная коронка — это не «вставной зуб» в классическом понимании, а индивидуальный протез, который восстанавливает именно вашу разрушенную часть зуба. Его изготавливают по слепку, под ваш прикус и цвет эмали.

Такая конструкция необходима, если от родного зуба осталось меньше половины, либо он имеет скол или трещину, которые портят улыбку.

9 клиник

9 клиник

В 5 городах подмосковья:
Королёв, Мытищи, Щёлково, Пушкино и Балашиха.
с 1998 года

с 1998 года

Многолетний накопленный опыт и собственная научная база позволяет решать даже самые сложные случаи
250 тысяч пациентов

250 тысяч пациентов

Доверили нам своё здоровье.
80% из них
— пришли к нам по рекомендациям
-0

Задача коронки — не просто закрыть проблему:

  • Вернуть зубу жевательную функцию, чтобы можно было спокойно есть;
  • Восстановить естественную красоту улыбки без «синих ободков» у десны;
  • Предотвратить разрушение оставшегося зуба (чтобы не пришлось удалять его потом).

Быстрая запись на приём

Оставьте номер телефона и администратор перезвонит Вам в течение 5 минут.

img

Спасибо!

Наши специалисты свяжутся с вами в ближайшее время.

Ежедневно с 8:00 до 21:00

+7 (495) 801-68-68

Общий номер

+7 (495) 987-21-21

пр. Ленина, д.21

+7 (495) 104-42-00

Отдел качества

Виды зубных коронок

Виды зубных коронок

Наши ортопеды

Все врачи

Наше оборудование

Дентальный микроскоп

Дентальный микроскоп

Использование ультрасовременных дентальных микроскопов создает уникальные возможности для спасения «безнадежных зубов». Микроскопы:  Advanced,  Karl Kaps,  Carl Zeiss EXTARO 300, Prima D с вариоскопом.
3D томограф Galileos

3D томограф Galileos

Охватывает всю зубочелюстную систему, включая пазухи. А благодаря 3D-моделированию аппарат  позволяет повысить диагностическую точность и виртуально спланировать наиболее эффективное лечение.
Дентальный компьютерный томограф Planmeca ProMax

Дентальный компьютерный томограф Planmeca ProMax

Уникальный компьютерный томограф для качественной диагностики  и планирования лечения
Стоматологическая установка DENTSPLY SIRONA

Стоматологическая установка DENTSPLY SIRONA

Признаны стоматологами во всём мире, как наиболее совершенные и комфортные, обладающие передовыми характеристиками. Обладают наградами iF Design Gold Award и German Design Award.
Интраоральный 3D-сканер

Интраоральный 3D-сканер

3D-сканирование можно назвать новым стандартом в стоматологической практике, который становится всё более распространенным. 3D-сканер позволяет достичь высочайшей точности и качества в протезировании.

Цены на коронки

Все цены

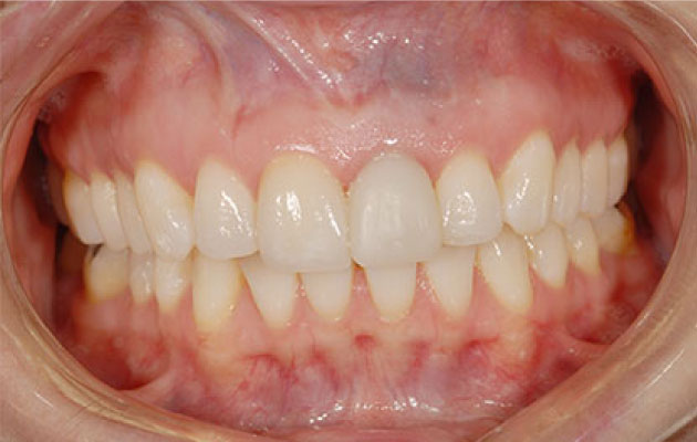
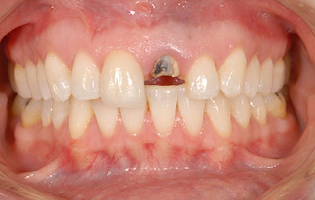
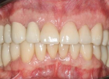
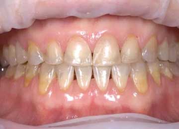
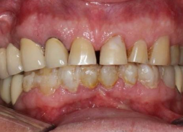
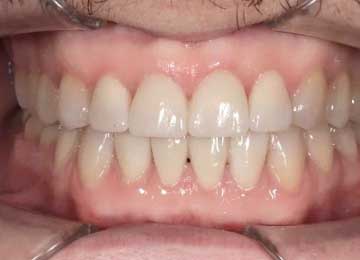
Коронки на зубы: фото До и После

Фото ДО
Фото ПОСЛЕ

Наведите для просмотра

Циркониевые коронки

Фото ДО
Фото ПОСЛЕ

Наведите для просмотра

Циркониевые коронки

Фото ДО
Фото ПОСЛЕ

Наведите для просмотра

Циркониевые коронки

Фото ДО
Фото ПОСЛЕ

Наведите для просмотра

Циркониевые коронки

Фото ДО
Фото ПОСЛЕ

Наведите для просмотра

Циркониевые коронки

Фото ДО
Фото ПОСЛЕ

Наведите для просмотра

Циркониевые коронки

Наши клиники

Клиника в г. Балашиха

Наши лицензии

Лечение проводится на основании действующих медицинских лицензий Л041-01162-50/00360420 и Л041-01162-50/00367813. Это гарантирует, что все процедуры — от диагностики до реставрации — выполняются безопасно, с использованием сертифицированных материалов и оборудования, в строгом соответствии с российскими стандартами.

Л041-01162-50/00360420 Л041-01162-50/00360420

Открыть PDF
Л041-01162-50/00367813-1 Л041-01162-50/00367813

Л041-01162-50/00367813-2 Л041-01162-50/00367813

Л041-01162-50/00367813-3 Л041-01162-50/00367813

Л041-01162-50/00367813-4 Л041-01162-50/00367813

Л041-01162-50/00367813-5 Л041-01162-50/00367813

Л041-01162-50/00367813-6 Л041-01162-50/00367813

Л041-01162-50/00367813-7 Л041-01162-50/00367813

Л041-01162-50/00367813-8 Л041-01162-50/00367813

Л041-01162-50/00367813 Л041-01162-50/00367813

Открыть PDF

Почему цена не может быть одной на всех

Итоговая стоимость складывается не из «хотелок» клиники, а из состояния вашего зуба. Если зуб сильно разрушен, перед протезированием его необходимо укрепить (штифт или вкладка), чтобы коронка держалась надежно и не выпала через полгода. Именно поэтому в каждом случае итоговая смета рассчитывается индивидуально, без скрытых доплат в процессе.

Сравнение коронок: какой вариант прослужит дольше и будет выглядеть естественно

Керамическая коронка (стандартная)

  • Материал: обычная керамика.
  • Внешний вид: максимально похожа на свою эмаль, нет металлического ободка у десны.
  • Надежность: подходит для жевания, но при избыточной нагрузке могут появиться микротрещины или сколы.
  • Срок службы: 10–15 лет.

Керамическая коронка E-max

  • Материал: высокопрочная керамика E-max.
  • Внешний вид: естественный блеск и цвет, не отличить от своих зубов.
  • Надежность: выдерживает нагрузку выше средней, но по прочности уступает цирконию.
  • Срок службы: 15–20 лет.

Циркониевая коронка

  • Материал: диоксид циркония.
  • Внешний вид: зависит от типа. Многослойные (Multi Layer) выглядят живо и натурально. Однородные — проще, но тусклее.
  • Надежность: самый устойчивый вариант к жевательному давлению, не боится трещин и сколов.
  • Срок службы: 15–18 лет.

Металлокерамическая коронка

  • Материал: металлический каркас + керамическое покрытие.
  • Внешний вид: со временем у десны может проступить темный ободок, искусственность заметна.
  • Надежность: металл держит форму, но верхний слой керамики при сильном давлении может дать скол.
  • Срок службы: 7–14 лет.

Когда без коронки не обойтись

Коронка требуется не «для красоты», а когда зуб уже не справляется сам. Вот основные ситуации:

  • Зуб разрушен больше чем наполовину — спасти его можно, установив коронку на корень, чтобы не удалять.
  • Депульпированный (нерв удален) зуб стал хрупким — коронка защищает его от растрескивания.
  • Эмаль аномально стирается — зубы становятся ниже, меняется прикус, коронка восстанавливает высоту.
  • Нужен эстетичный результат, но виниры не подходят — когда разрушения серьезнее, чем просто скол.
  • Зуб разрушается из-за некариозных поражений — например, трещины или врожденные особенности.
  • Протезирование на импланте — одиночный имплант или мостовидный протез требуют коронки сверху.
  • Старая коронка износилась или расцементировалась — своевременная замена, чтобы не потерять зуб под ней.

Когда установка коронки невозможна (или требует подготовки)

В некоторых случаях сначала нужно устранить препятствия:

  • Аллергия на металлы — если планируется металлосодержащая конструкция, нужен альтернативный материал.
  • Неправильный прикус — перед протезированием может потребоваться коррекция.
  • Зубы слишком низкие — не хватает высоты, чтобы надежно зафиксировать штифт или культевую вкладку.
  • Есть воспаление в полости рта — кариес, гингивит, пародонтит. Сначала лечим, потом протезируем.
  • Психические расстройства — при которых пациент не может адекватно соблюдать рекомендации или переносить лечение.
  • Беременность и лактация — протезирование обычно откладывают на более безопасный период (кроме острых показаний).

Установка коронки на зуб: как это проходит за 2 этапа

Первый этап — подготовка

1. Диагностика

Врач осматривает полость рта: оценивает степень разрушения зуба, прикус, состояние тканей. Назначает компьютерную томографию (КТ). По снимку проверяет качество пломбировки каналов, исключает скрытый кариес, кисты или другие воспаления.

2. Планирование лечения

На основе диагностики стоматолог составляет схему протезирования. Объясняет этапы, предлагает варианты под разный бюджет.
Чтобы исключить сюрпризы под будущей коронкой, назначает подготовку:

  • лечение кариеса, если он есть;
  • перелечивание каналов при необходимости;
  • профессиональную гигиену;
  • устранение воспаления десен.

3. Создание шаблона будущей коронки

Стоматолог снимает слепок — либо гипсовый, либо с помощью внутриротового сканера. Это нужно, чтобы зафиксировать естественную форму зуба до обточки. По слепку изготовят временную и постоянную коронку, которые точно подойдут по анатомии.

4. Обезболивание

Вводится местная анестезия — действует уже через минуту. Никакой боли во время подготовки и обточки.

5. Удаление нерва (депульпация) — не всегда

Врач сохраняет нерв везде, где это возможно. Живой зуб под коронкой получает питание и служит дольше.
Но есть случаи, когда депульпация необходима:

  • у передних зубов тонкая эмаль и дентин;
  • зуб с одним корнем.

В этих ситуациях при обточке высок риск перегрева пульпы, что позже приведет к воспалению под коронкой. Поэтому нерв удаляют заранее, чтобы избежать осложнений.

6. Препарирование (обточка)

Врач удаляет поврежденные ткани и формирует культю — основу под коронку. Зуб уменьшается по кругу на 1–2,5 мм.
Минимальная высота культи — 3 мм. Если своего зуба для этого недостаточно, устанавливается штифт или культевая вкладка. Это обеспечивает надежную фиксацию без риска, что коронка выпадет.

7. Ретракция десны

С помощью специальной нити, кольца или силиконового конуса врач аккуратно отодвигает десну от края зуба. Это необходимо, чтобы снять максимально точный слепок — без этого коронка может натирать или плохо прилегать.

8. Сканирование

Внутриротовой сканер создает точную 3D-модель зубов. Это позволяет изготовить протез, который будет сидеть плотно, не зазорить и не натирать.

9. Фиксация временной коронки

Чтобы обточенный зуб не оставался без защиты, врач изготавливает временную коронку прямо в кабинете из быстротвердеющей пластмассы. Она восстанавливает внешний вид, дикцию и позволяет спокойно жевать. Носить ее нужно 1–2 недели — пока зуботехническая лаборатория делает постоянную коронку.

Второй этап — установка

1. Обезболивание

Даже если нерв уже удален, десна и ткани вокруг зуба могут сохранять чувствительность. Врач вводит местную анестезию, чтобы во время примерки и фиксации вы не испытывали ни малейшего дискомфорта.

2. Снятие временной коронки

Временную конструкцию фиксируют на специальный мягкий цемент, поэтому она снимается легко и безболезненно. Врач аккуратно сдвигает ее специальным инструментом (аппаратом Коппа) и удаляет остатки цемента с зуба.

3. Примерка постоянной коронки

Специалист надевает готовую коронку на временный цемент, чтобы проверить:

  • насколько плотно она прилегает к десне;
  • не мешает ли соседним зубам;
  • правильно ли смыкаются челюсти;
  • устраивает ли вас цвет и форма.

Если есть даже малейший дискомфорт или эстетические замечания — все корректируется на месте. Уйти с тем, что «натирает», не дадут.

4. Подготовка зуба к фиксации

Врач высушивает культю (обточенный зуб), обрабатывает ее воздухом с абразивом и наносит несколько слоев композита. Это усиливает сцепление между зубом и фиксирующим цементом — чтобы коронка стояла надежно годами и не выпала в самый неподходящий момент.

5. Установка коронки

Стоматолог высушивает внутреннюю поверхность коронки, наносит тонкий слой цемента (состав подбирается под конкретный материал), надевает конструкцию и удаляет излишки клея. Чтобы цемент схватился правильно, вам нужно будет несколько минут посидеть с плотно сжатыми челюстями — это быстро и не требует усилий.

6. Финальная проверка

Врач еще раз осматривает, как села коронка, проверяет флоссом межзубные контакты (чтобы нигде не забивалась еда), просит вас поговорить, открыть и закрыть рот. Убеждается, что вам комфортно, и только после этого отпускает.

Если от зуба осталось слишком мало — коронке не за что держаться. В таких случаях перед протезированием устанавливают штифт или культевую вкладку. Это не больно и не сложно, зато гарантирует, что коронка не выпадет и не расшатается.

Штифт

Штифт — это готовый стержень заводского производства. Материалы бывают разными: металл, стекловолокно или углепластик. Штифт устанавливают в корневой канал, чтобы укрепить зуб изнутри и создать надежную основу под коронку.

Штифты бывают двух типов:

  • Пассивный. Просто фиксируется на цемент внутри канала. Не создает лишнего давления на корень. Подходит для укрепления зуба после лечения, когда нужно сохранить то, что осталось.
  • Активный. Имеет резьбу и вкручивается в корневой канал. Используется, когда своего зуба почти нет и нужно с нуля создать культю (основу) под коронку. Несмотря на название, установка проходит под анестезию и без боли.

Культевая вкладка

Культевая вкладка — это более массивная конструкция, которую изготавливают индивидуально под ваш зуб. Она нужна, когда собственных тканей настолько мало, что обычный штифт не справится. Вкладка состоит из двух частей:

  • стержень (или несколько стержней), который уходит в корневые каналы;
  • искусственная культя, которая выступает над десной и служит полноценной опорой для коронки.

В отличие от готового штифта, вкладка точно повторяет анатомию вашего корня и распределяет жевательную нагрузку равномерно — риск того, что зуб треснет или коронка выпадет, минимален.

Уход после установки коронки: чтобы служила годами

Правильный уход продлевает срок службы коронки и сохраняет ее внешний вид. Ничего сложного — просто несколько привычек.

1. Чистите зубы дважды в день

Используйте пасту с низкой абразивностью (или без абразивов) и щетку с мягкой или средней жесткости. Это защитит коронку от микроцарапин, в которых со временем скапливается налет.

2. Добавьте дополнительные средства гигиены

Ершики, зубная нить (флосс) и ирригатор помогут очистить труднодоступные места — особенно там, где коронка граничит с десной и соседними зубами. Раз в год рекомендуется профессиональная чистка в клинике: это убирает то, что не достать щеткой дома.

3. Без фанатизма с твердой пищей

Коронки прочные, но специально грызть орехи, сухарики или леденцы не стоит — это снижает риск сколов и трещин. Если у вас металлокерамика, старайтесь избегать резких перепадов температур (например, горячий кофе + мороженое): так вы не будете испытывать дискомфорт, а материал прослужит дольше.

4. Если курите — будьте внимательны

Табачный дым и смолы со временем могут сделать коронку тусклее и дать желтоватый оттенок. Кроме того, горячий дым влияет на материал — при регулярном воздействии повышается риск микротрещин.

5. Показывайтесь врачу раз в полгода

Регулярные осмотры — это не «для галочки». Врач проверит, плотно ли прилегает коронка, нет ли воспаления под десной, и вовремя заметит любые изменения. Если что-то потребует коррекции — сделает сразу, не дожидаясь проблем.

Если болит зуб под коронкой

Боль под коронкой — это сигнал, который нельзя игнорировать. Чаще всего причина в одном из следующего:

  • коронка неплотно прилегает к зубу;
  • нарушена фиксация штифта;
  • развился вторичный воспалительный процесс в корне;
  • редко, но бывает: в корневом канале остался посторонний предмет (например, обломок инструмента).

Что делать: не откладывать и обратиться к своему стоматологу. Если затянуть, воспаление под коронкой может прогрессировать, и в запущенных случаях возникает риск потери зуба.

Почему появился запах из-под коронки

Неприятный запах — это не просто дискомфорт, а признак того, что под конструкцией что-то идет не так. Основные причины:

  • Нарушение контакта с соседними зубами. Между коронкой и соседним зубом образовался зазор. Туда попадают остатки еды, застревают и начинают гнить.
  • Разгерметизация цемента. Протез перестал быть герметично зафиксированным. Слюна проникает под коронку, со временем это приводит к окислению и появлению запаха.
  • Невылеченный зуб под коронкой. Если перед протезированием в зубе остался не до конца вылеченный кариес или воспаление, процесс продолжается уже под конструкцией — отсюда запах и постепенное разрушение.
Консилиум врачей в подарок Получить подарок