Ежедневно с 8:00 до 21:00

+7 (495) 987-21-21

пр. Ленина, д.21

+7 (495) 104-42-00

Отдел качества

+7 (495) 801-68-68

Общий номер

+7 (495) 987-21-21

пр. Ленина, д.21

+7 (495) 104-42-00

Отдел качества

Ежедневно с 8:00 до 21:00

Взрослая стоматология
+7 (495) 801-68-68

Общий номер

+7 (495) 987-21-21

пр. Ленина, д.21

+7 (495) 104-42-00

Отдел качества

Взрослая стоматология

Съемное протезирование

Съемные протезы – один из самых быстрых способов восстановить зубной ряд при потере одного или нескольких зубов, вплоть до полной адентии. Большим преимуществом является доступная цена съемного протезирования – для каждого пациента, независимо от уровня доходов, можно подобрать подходящие модели и установить их в течение одной-двух недель после подготовки полости рта.

9 клиник

9 клиник

В 5 городах подмосковья:
Королёв, Мытищи, Щёлково, Пушкино и Балашиха.
с 1998 года

с 1998 года

Многолетний накопленный опыт и собственная научная база позволяет решать даже самые сложные случаи
250 тысяч пациентов

250 тысяч пациентов

Доверили нам своё здоровье.
80% из них
— пришли к нам по рекомендациям
-0

Актуальность съемных зубных протезов

Стоматологическая клиника «Интердентос» в Балашихе приглашает пациентов на любой стадии отсутствия зубов воспользоваться нашими услугами по восстановлению функционала челюсти и красивой улыбки:

Современное съемное протезирование дает отличные варианты, как для восстановления жевательной функции, так и для эстетической составляющей. В структуру съемного протеза включены: искусственная десна, коронки, крепления в различных вариантах. Данную конструкцию можно надевать и снимать самостоятельно.

Более обеспеченные пациенты предпочитают установить импланты, но процесс это длительный, а зачастую зубы необходимо восстановить быстро. Съемное протезирование часто становится переходным моментом к имплантации, особенно если необходимо длительное лечение оставшихся зубов или восстановление костной ткани.

  • Мы учтем все ваши потребности и в соответствии с бюджетом подберем лучшие варианты протезирования для самого комфортного жевания и здоровой эстетичной улыбки.
  • Изучив состояние челюсти пациента, мы предлагаем несколько решений на выбор.
  • За один визит мы проводим необходимые обследования- в клинике есть весь необходимый арсенал оборудования.

Зубные протезы изготавливают наши сотрудники в собственной зубопротезной лаборатории, что облегчает контакт пациента, стоматолога ортопеда, и зубного техника.

Очевидно, что чем больше требований пациента к качеству, долговечности и эстетичности протезов, тем дороже будет итоговая стоимость. Мы даем клиентам информацию по ценам, особенностям материалов, и только затем назначаем лечение и рекомендуем материалы. Окончательное решение принимает пациент. Наши ортопеды подходят к протезированию с ювелирной точностью, повторяют рельеф зубов, с учетов даже капилляров тканей. Вы получите прекрасные зубы, практически неотличимые от естественных. Улыбайтесь красиво!

Быстрая запись на приём

Оставьте номер телефона и администратор перезвонит Вам в течение 5 минут.

img

Спасибо!

Наши специалисты свяжутся с вами в ближайшее время.

Ежедневно с 8:00 до 21:00

+7 (495) 801-68-68

Общий номер

+7 (495) 987-21-21

пр. Ленина, д.21

+7 (495) 104-42-00

Отдел качества

Услуги

Услуги

Наши врачи ортопеды

Все врачи

Наше оборудование

CEREC - технология художественной реставрации зубов за 2 часа

CEREC - технология художественной реставрации зубов за 2 часа

CAD/CAM система CEREC позволяет проводить лечение и протезирование зубов быстро и с высокой точностью – благодаря специальному сканеру, воспроизводящему модель зуба в 3D. CEREC Omnicam, MEDIT  i700,  PrimeScan.
Дентальный микроскоп

Дентальный микроскоп

Использование ультрасовременных дентальных микроскопов создает уникальные возможности для спасения «безнадежных зубов». Микроскопы:  Advanced,  Karl Kaps,  Carl Zeiss EXTARO 300, Prima D с вариоскопом.
3D томограф Galileos

3D томограф Galileos

Охватывает всю зубочелюстную систему, включая пазухи. А благодаря 3D-моделированию аппарат  позволяет повысить диагностическую точность и виртуально спланировать наиболее эффективное лечение.
Артикулятор

Артикулятор

Является универсальным прибором для диагностики и терапии, он имитирует жевательные движения, точно определяя анатомические особенности пациента и незаменим при изготовлении ортопедических конструкций.
Дентальный компьютерный томограф Planmeca ProMax

Дентальный компьютерный томограф Planmeca ProMax

Уникальный компьютерный томограф для качественной диагностики  и планирования лечения
Sleeper One - электронная система анестезии

Sleeper One - электронная система анестезии

Система анестезии нового поколения, объём, скорость и давление подачи препарата контролируется электронной системой. Специальные иглы обеспечивают безболезненность и снижают травматичность тканей.
Стоматологическая установка DENTSPLY SIRONA

Стоматологическая установка DENTSPLY SIRONA

Признаны стоматологами во всём мире, как наиболее совершенные и комфортные, обладающие передовыми характеристиками. Обладают наградами iF Design Gold Award и German Design Award.
Интраоральный 3D-сканер

Интраоральный 3D-сканер

3D-сканирование можно назвать новым стандартом в стоматологической практике, который становится всё более распространенным. 3D-сканер позволяет достичь высочайшей точности и качества в протезировании.

Цены на съемное протезирование зубов

Все цены

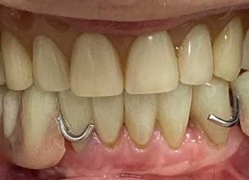
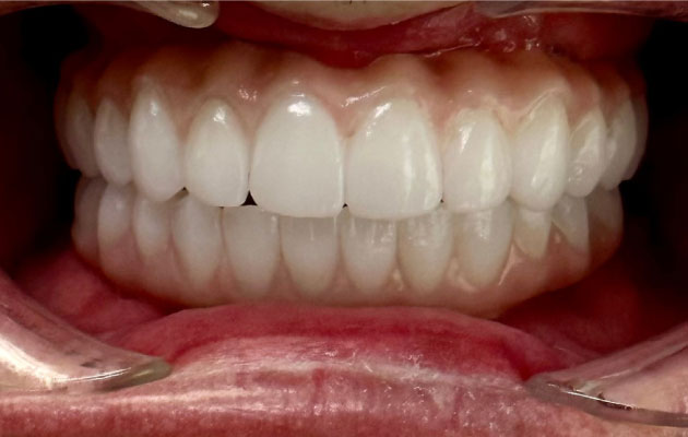
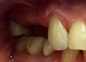
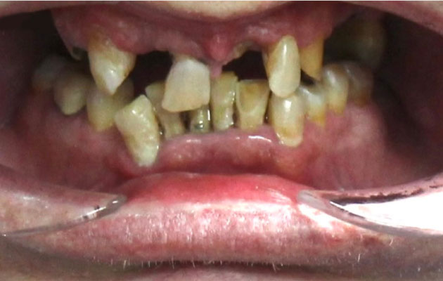
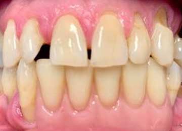
Съемное протезирование: фото До и После

Фото ДО
Фото ПОСЛЕ

Наведите для просмотра

Зубные протезы Candulor

Фото ДО
Фото ПОСЛЕ

Наведите для просмотра

Зубные протезы Candulor

Фото ДО
Фото ПОСЛЕ

Наведите для просмотра

Зубные протезы Candulor

Фото ДО
Фото ПОСЛЕ

Наведите для просмотра

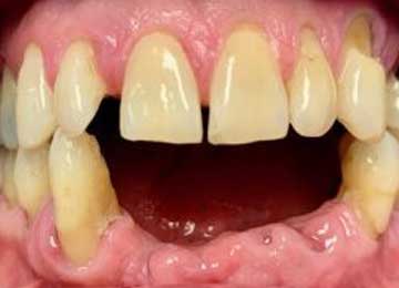
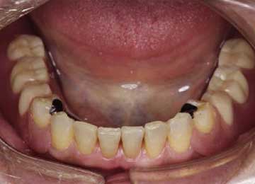
Бюгельное протезирование

Фото ДО
Фото ПОСЛЕ

Наведите для просмотра

Бюгельное протезирование

Фото ДО
Фото ПОСЛЕ

Наведите для просмотра

Бюгельное протезирование

Фото ДО
Фото ПОСЛЕ

Наведите для просмотра

Бюгельное протезирование

Наши клиники

Клиника в г. Балашиха

Наши лицензии

Лечение проводится на основании действующих медицинских лицензий Л041-01162-50/00360420 и Л041-01162-50/00367813. Это гарантирует, что все процедуры — от диагностики до реставрации — выполняются безопасно, с использованием сертифицированных материалов и оборудования, в строгом соответствии с российскими стандартами.

Л041-01162-50/00360420 Л041-01162-50/00360420

Открыть PDF
Л041-01162-50/00367813-1 Л041-01162-50/00367813

Л041-01162-50/00367813-2 Л041-01162-50/00367813

Л041-01162-50/00367813-3 Л041-01162-50/00367813

Л041-01162-50/00367813-4 Л041-01162-50/00367813

Л041-01162-50/00367813-5 Л041-01162-50/00367813

Л041-01162-50/00367813-6 Л041-01162-50/00367813

Л041-01162-50/00367813-7 Л041-01162-50/00367813

Л041-01162-50/00367813-8 Л041-01162-50/00367813

Л041-01162-50/00367813 Л041-01162-50/00367813

Открыть PDF

Показания к съёмному протезированию

Сразу после удаления зуба врачи рекомендуют восстанавливать зубной ряд, однако не всегда пациент готов к имплантации зубов или несъемному протезированию.

Съемные протезы рекомендуют в случаях:

  • Наличие противопоказаний;
  • Отсутствие опор;
  • Заболевания пародонта;
  • Недостаток костной ткани компенсируется специальной операцией, и происходит длительный процесс остеоинтеграции;
  • Проведение имплантации занимает длительный период, устанавливают временные съемные протезы.

У нас работают специалисты высокой квалификации, способные оценить показания пациентов после обследования и выбрать правильные варианты протезирования для каждой ситуации.

Съемные протезы при противопоказаниях к имплантации

После удаления зуба стоматологи называют имплантацию самым эффективным способом восстановления зубного ряда. По сравнению с полным и частичным съемным зубным протезом, восстановленные зубы на имплантах обладают всеми свойствами здоровых зубов, при этом нет атрофии костной ткани, отсутствует давление на десну. Однако имплантация зубов - сложный и длительный процесс, при этом дорогой, и не всем подходящий.

Импланты нельзя установить, если велики риски отторжения инородной ткани. Это происходит, например, в случаях заболеваний остеопорозом или тяжелой формой сахарного диабета. Бифосфонаты (препараты при остеопорозе) влияют на структуру костной ткани, если человек их принимает, то имплантация противопоказана. Съемные протезы могут сослужить отличную службу сразу после удаления зуба в случаях, когда имплантация пока невозможна.

Виды съёмных зубных протезов

В нашей стоматологии используются различные формы зубных протезов по показаниям пациента, при отсутствии зубов, от одного, до полной адентии. Существует три основных типа конструкций по конфигурации: бюгельные, пластинчатые и «бабочка».

Бюгельные протезы

Крупный бюгельный протез на основе металлической дуги (бюгеля), скрепляющей в единую систему искусственные зубы (коронки) может восстановить зубной ряд при отсутствии более чем 6 зубов. При меньшем количестве отсутствующих единиц конструкция не сможет надежно закрепиться в ротовой полости.

Такой протез может изготавливаться в литом или гнутом варианте. Зубы и искусственная десна выполняются из искусственного пластика (акрила), не вызывающего аллергию. Для фиксации разработаны специальные крючки, поэтому такие протезы называются условно съемные. Основные преимущества бюгельных протезов – прочность, восстановление эстетики улыбки, надежная фиксация для качественного жевания. Для установки частично съемного зубного протеза с бюгелем важно отсутствие противопоказаний, так как у некоторых пациентов может появиться непереносимость металлов при соприкосновении бюгеля со слизистыми оболочками. При установке зубных протезов важно наличие опорных зубов, и для закрепления крючками или кламмерами их придется подточить. При отсутствии зубов для опор можно установить импланты.

Пластинчатые

Ортопедическая «пластинка» с искусственными зубами, плотно прилегающая к слизистой оболочке и удерживаемая путем присасывания к небной зоне или слизистой подъязычной зоны, прототип зубного ряда, закрепленного на искусственной десне.

Существует разница между верхними и нижними пластинами по объему площади для крепления. Современные пластины закрывают 2/3 небной зоны вверху, и узкую полоску внизу, что оставляет открытыми значительную часть вкусовых рецепторов, что дает возможность человеку ощущать вкус блюд.

Структура пластины:

  • Базис выполняется из адаптированных противоаллергенных полимеров. Назначение базиса – удерживать зубы и передавать жевательную нагрузку на слизистую оболочку.
  • Искусственные зубы предназначены для жевания пищи, с учетом эстетической составляющей.
  • Крючки или кламмеры используют только в частичных, условно съемных протезах.

Протезы на 1-2 зуба в форме бабочки

«Бабочка» - удобный протез, не требующий подтачивания соседних зубов для крепления, помогает восстановить жевательную функцию при отсутствии от одного, до трех зубов подряд. Изготавливают такие съемные зубные протезы из адаптированных вариантов акрила или нейлона. Такая конструкция крепится пластиковыми отростками в виде крыльев бабочки и используется чаще всего для временного протезирования, например, перед имплантацией зубов. Конструкция простая, но менее функциональная, чем альтернативные методики.

Структура протеза «бабочки» - акриловый или нейлоновый каркас, то есть базис, замещающий десну, и прикрепленную к ней коронку.

Квадротти

Одним из современных инновационных вариантов бюгельных съемных зубных конструкций является протез Квадротти. Для его изготовления используется специально разработанный полимер Dental-D - прочный, гибкий и мягкий материал, напоминающий нейлон, но более твердый и устойчивый на зубном ряду. Кроме этого, частично съемный протез производства итальянского бренда отличается высокой эстетичностью – внешне зубы идентичны естественным.

По сравнению с металлическим базисом пластичный материал от фирмы QuattroTi проигрывает в долговечности и прочности, но имеет массу преимуществ для пациентов, имеющих непереносимость металлов в ротовой полости, а также для тех, кто по каким-то причинам не хочет использовать тяжелые конструкции после удаления зуба.

Протез Acry Free (до 3 зубов)

Акри Фри протез также представляет собой разновидность пластинчатого и бюгельного протеза, но без применения металлических деталей. Конструкции отличается материалом изготовления, представляющим собой специально разработанную термопластмассу. Основное его назначение – дать возможность людям с аллергией на металлы и полимеры восстановить зубной ряд и эффективное жевание.

Частично съемный протез получается легким, гипоаллергенным. Он отлично подходит для протезирования при отсутствии одного, двух или трех зубов, обеспечивая комфортное ношение и естественную улыбку.

Протезы Acry Free могут применяться для изготовления бюгельных протезов с применением крючков и кламмеров для фиксации, а также в виде бабочки без фиксации и частично съемные или полностью съемные пластинки для полностью съемных зубных конструкций при полной адентии. Последний удерживается в ротовой полости на основании эффекта присасывания и не требует применения специальных материалов и приспособлений для фиксации.

Подбор протезов при частичной адентии

«Бабочка», пластинчатые и бюгельные протезы и устанавливают при удалении зуба или нескольких зубов. Однако необходимо иметь в виду, что частично съемные бюгельные протезы требуют наличия опорных зубов. Для крепления кламмерами или крючками опорные зубы придется подточить. Протез можно снимать, но слишком частые манипуляции вредных для зубов, они скорее портятся.

Врач тщательно обследует полость рта пациента, и только потом делает назначение, обговорив все нюансы с пациентом. Для одного-двух отсутствующих рядом зубов вполне достаточно съемного зубного протеза «бабочка». Если протезирование выполняется с целью восстановить зубы на длительный срок, лучше ставить частично съемные бюгельные протезы, конечно, с учетом противопоказаний. Например, некоторые пациенты страдают непереносимостью металлических деталей. Также принимается во внимание, чего хочет пациент в приоритете – эстетичности улыбки или функционала жевания.

Протезирование при полной адентии

Если зубы отсутствуют полностью, самым простым способом будет поставить съемную зубную пластину из акрила или легкой прочной пластмассы. Для базиса также может применяться нейлон. Популярным современным способом восстановления зубов является инновационный способ протезирования акри-фри. Для установки частично съемных бюгельных протезов необходима опора, в качестве которой можно установить имплант. Но чаще всего имплантация комбинируется с несъемным протезированием.

Разновидности протезов по виду материала

Бюгельные протезы на замках

В этой разновидности в качестве креплений применяются не кламмеры или крючки, а специально разработанные механизмы замков, абсолютно незаметные извне. Одна часть замка располагается на коронке опоры, а другая на конструкции. Установка замков более эффективна, для них не нужно подтачивать соседние опорные зубы.

Акриловые протезы

Материалом изготовления служит акрил – специально адаптированный пластик, жесткая пластмасса, прочная, устойчивая к химическим реакциям в ротовой полости, способная переносить высокую нагрузку при жевании. Акриловые протезы применяются, как при полном протезировании, для восстановления беззубой челюсти, так и в частично съемном варианте. В качестве креплений для частичных протезов могут использоваться крючки и кламмеры. Полные протезы (пластины) хорошо держатся, благодаря эффекту присасывания к слизистой небной или подъязычной зоны. Акриловые протезы могут служить 5-6 лет. В современном мире протезирования эти виды материалов менее популярны, и уступают более «продвинутым» и менее аллергенным нейлону и пластику Acry Free.

Нейлоновый

Денталогический нейлон – это специальный материал, созданный на основе гибкого ацетала. Вся конструкция, включая небную пластину и зубы, выполняется из этого пластичного и гибкого полимера. В зависимости от объема съемного зубного протеза и его вида, для крепления применяют крючки и кламмеры, тоже нейлоновые, либо же он удерживается присосками.

Нейлоновые протезы проигрывают другим видам в долговечности. Их часто используют в качестве временных конструкций при подготовке к имплантации, а также для детей и пожилых людей. Также минусом нейлона является слабая ремонтопригодность – чаще всего после поломки протез просто изготавливают заново.

Этапы съёмного протезирования

По сравнению с другими видами протезирования, съемные протезы устанавливаются в самый небольшой срок. Например, протез бабочка устанавливается в два приема. Сначала снимается слепок, а затем проводится примерка и подгонка уже готовой конструкции. Самое большее количество приемов необходимо для установки бюгельных конструкций, но все равно их количество редко выходит за 4 приема.

Этап 1. Консультативный.

Вы можете записаться на консультацию, где врач ответит на вопросы и подскажет, какие процедуры нужно пройти для осмотра и диагностики. Возможно, придется сделать рентген, КЛКТ или цифровой снимок. Все необходимое оборудование есть у нас в клинике.

Этап 2. Диагностический этап.

Если вы готовы к протезированию, диагностика проводится в первый прием. Также врач осматривает полость рта и выявляет патологии. Необходимо устранить кариес, вылечить патологии десен. Проводится профессиональная чистка зубов, затем снимаются оттиски.

Этап 3. Примерка и подгонка.

Изготовление протезов в нашей клинике проводится по стандартам мирового протезирования, все необходимое оборудование и 3D-технологии имеются в нашей собственной зуботехнической лаборатории. В зависимости от сложности задачи примерок может быть одна или две. На первой примерке используется пластичный восковой валик, в котором легко корректировать прикус и правильность смыкания челюстей. На второй примерке уже используется восковой валик с установленными зубами.

Этап 4. Установка финальная.

Протез устанавливается после финальной подгонки. Пациента ознакомят с правилами ухода за ротовой полостью.

Для контроля работы лечащий врач сохраняет снимки и делает фотографии работы. По каждому пациенту создается карточка в нашей системе и сохраняется вся информация. Соответствие стандартам качества проверяет и контролирует главврач нашей стоматологии. Такая система проверки качества работы помогает нам решать различные задачи пациентов и гарантирует высокие стандарты лечения зубов.

Как добиться привыкания с минимальным дискомфортом

На первых порах съемные зубные протезы могут ощущаться с некоей долей дискомфорта. Искажается дикция, в усиленном режиме начинают работать слюнные железы, повышая слюноотделение. Могут теряться вкусовые качества продуктов. Все неприятные симптомы проходят за несколько недель, если пациент настойчиво справляется с ними и не прекращает ношение.

В дальнейшем протезы практически не ощущаются во рту и воспринимаются, как необходимая вещь для жизни. Если симптомы не исчезают, а иногда и усиливаются, обратитесь к лечащему врачу. Ни в коем случае нельзя корректировать съемный зубной протез самостоятельно – это может привести к его окончательной поломке.

Правила ухода

  • Важна регулярная чистка протезов вместе с оставшимися зубами два раза в день.
  • Дезинфицируйте протез специальными составами.
  • Защищайте протез от механических повреждений.
  • При появлении дефектов не пытайтесь ремонтировать протез самостоятельно, обращайтесь в нашу лабораторию.
  • Раз в полгода посещайте врача для осмотра и профилактики, поддержания здоровья челюсти.
  • Протезы влияют на состояние десны, поэтому раз в 6-7 лет протез нужно корректировать.

Недостатки съемных протезов

По эффективности съемные протезы уступают только имплантам. Мы обязательно информируем пациентов о минусах съемного протезирования:

  • Длительный процесс привыкания.
  • Необходимость тщательной гигиены.
  • Возможно временное ухудшение дикции.
  • Из-за неплотного прилегания может появиться дискомфорт при смехе, жевании, речи.
  • Есть компоненты, противопоказанные аллергикам.

В нашей стоматологии возможны любые процедуры по восстановлению зубов. Мы подберем профессионально подходящие виды протезирования, даже если съемное протезирование не подходит:

  • Если нет опорных зубов, мы установим импланты;
  • Для полностью беззубой челюсти мы предлагаем методики полного протезирования All-on-4 и All-on-6, а также инновационные методики скуловой имплантации.

Запишитесь на консультацию в нашу клинику, и мы расскажем какие протезы самые удобные, какие варианты можно выбирать для вашей клинической картины, и в чем различие протезирования верхней и нижней челюсти. Все эти варианты обеспечат вам естественную улыбку, качественное жевание и хорошую дикцию.

Консилиум врачей в подарок Получить подарок