Ежедневно с 8:00 до 21:00

+7 (495) 987-21-21

пр. Ленина, д.21

+7 (495) 104-42-00

Отдел качества

+7 (495) 801-68-68

Общий номер

+7 (495) 987-21-21

пр. Ленина, д.21

+7 (495) 104-42-00

Отдел качества

Ежедневно с 8:00 до 21:00

Взрослая стоматология
+7 (495) 801-68-68

Общий номер

+7 (495) 987-21-21

пр. Ленина, д.21

+7 (495) 104-42-00

Отдел качества

Взрослая стоматология

Имплантация зубов

Имплантация зубов в Балашихе — метод установки искусственного «корня», изготовленного из титана, в верхнюю или нижнюю челюсть. Зубные имплантаты применяются как опоры, на которые крепятся съемные или несъемные зубные протезы.

Конструктивно имплантат состоит из двух частей — собственно имплантата, представляющего собой титановую конструкцию, устанавливаемую в челюсть хирургическим путем, и абатмента, изготовленного из того же материала (титана), который соединяется с имплантатом после процесса приживления.

9 клиник

9 клиник

В 5 городах подмосковья:
Королёв, Мытищи, Щёлково, Пушкино и Балашиха.
с 1998 года

с 1998 года

Многолетний накопленный опыт и собственная научная база позволяет решать даже самые сложные случаи
250 тысяч пациентов

250 тысяч пациентов

Доверили нам своё здоровье.
80% из них
— пришли к нам по рекомендациям

Возможности имплантации зубов

На всех этапах имплантации зубов мы заботимся о результате. Проводим всестороннюю диагностику с применением 3D-планирования операции.

Разрабатывается подробный план лечения, а тип имплантата подбирается с учетом физиологических особенностей пациента.

В нашей клинике г. Балашиха используется 3 производителя имплантов:

  • Osstem (пр-во. Южная корея)
  • Ankylos (пр-во. Германия)
  • Straumann (пр-во. Швейцария)

Быстрая запись на приём

Оставьте номер телефона и администратор перезвонит Вам в течение 5 минут.

img

Спасибо!

Наши специалисты свяжутся с вами в ближайшее время.

Ежедневно с 8:00 до 21:00

+7 (495) 801-68-68

Общий номер

+7 (495) 987-21-21

пр. Ленина, д.21

+7 (495) 104-42-00

Отдел качества

Услуги

Показать всё

Услуги

Показать всё

Врачи имплантологи

Все врачи

Наше оборудование

3D томограф Galileos

3D томограф Galileos

Охватывает всю зубочелюстную систему, включая пазухи. А благодаря 3D-моделированию аппарат  позволяет повысить диагностическую точность и виртуально спланировать наиболее эффективное лечение.
Дентальный компьютерный томограф Planmeca ProMax

Дентальный компьютерный томограф Planmeca ProMax

Уникальный компьютерный томограф для качественной диагностики  и планирования лечения
Sleeper One - электронная система анестезии

Sleeper One - электронная система анестезии

Система анестезии нового поколения, объём, скорость и давление подачи препарата контролируется электронной системой. Специальные иглы обеспечивают безболезненность и снижают травматичность тканей.
Стоматологическая установка DENTSPLY SIRONA

Стоматологическая установка DENTSPLY SIRONA

Признаны стоматологами во всём мире, как наиболее совершенные и комфортные, обладающие передовыми характеристиками. Обладают наградами iF Design Gold Award и German Design Award.

Цены на имплантацию зубов

Все цены

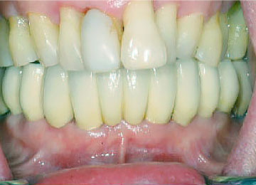
Имплантация зубов: фото «До» и «После»

Фото ДО
Фото ПОСЛЕ

Наведите для просмотра

All-on-4

Фото ДО
Фото ПОСЛЕ

Наведите для просмотра

All-on-4

Фото ДО
Фото ПОСЛЕ

Наведите для просмотра

All-on-4

Фото ДО
Фото ПОСЛЕ

Наведите для просмотра

All-on-4

Фото ДО
Фото ПОСЛЕ

Наведите для просмотра

All-on-6

Фото ДО
Фото ПОСЛЕ

Наведите для просмотра

All-on-6

Фото ДО
Фото ПОСЛЕ

Наведите для просмотра

All-on-6

Фото ДО
Фото ПОСЛЕ

Наведите для просмотра

All-on-6

Фото ДО
Фото ПОСЛЕ

Наведите для просмотра

All-on-4

Фото ДО
Фото ПОСЛЕ

Наведите для просмотра

All-on-4

Фото ДО
Фото ПОСЛЕ

Наведите для просмотра

All-on-4

Фото ДО
Фото ПОСЛЕ

Наведите для просмотра

All-on-4

Фото ДО
Фото ПОСЛЕ

Наведите для просмотра

All-on-4

Фото ДО
Фото ПОСЛЕ

Наведите для просмотра

All-on-4

Фото ДО
Фото ПОСЛЕ

Наведите для просмотра

All-on-4

Наши клиники

Клиника в г. Балашиха

Наши лицензии

Лечение проводится на основании действующих медицинских лицензий Л041-01162-50/00360420 и Л041-01162-50/00367813. Это гарантирует, что все процедуры — от диагностики до реставрации — выполняются безопасно, с использованием сертифицированных материалов и оборудования, в строгом соответствии с российскими стандартами.

Л041-01162-50/00360420 Л041-01162-50/00360420

Открыть PDF
Л041-01162-50/00367813-1 Л041-01162-50/00367813

Л041-01162-50/00367813-2 Л041-01162-50/00367813

Л041-01162-50/00367813-3 Л041-01162-50/00367813

Л041-01162-50/00367813-4 Л041-01162-50/00367813

Л041-01162-50/00367813-5 Л041-01162-50/00367813

Л041-01162-50/00367813-6 Л041-01162-50/00367813

Л041-01162-50/00367813-7 Л041-01162-50/00367813

Л041-01162-50/00367813-8 Л041-01162-50/00367813

Л041-01162-50/00367813 Л041-01162-50/00367813

Открыть PDF

Преимущества имплантации

  • хороший косметический эффект;
  • восстановление важных физиологических функций;
  • предотвращение негативных последствий отсутствия зубов.

Установка имплантата позволяет:

  • восстановить утраченный зуб, не повреждая при этом здоровые соседние зубы;
  • создать дополнительную опору и установить несъёмный протез;
  • создать опору для улучшения фиксации съёмного протеза.

Противопоказания к имплантации

Каким бы прекрасным и удобным ни был метод, он имеет ряд противопоказаний, в том числе:

  • болезни крови;
  • ишемическая болезнь сердца;
  • гипертоническая болезнь;
  • болезни центральной нервной системы;
  • сахарный диабет;
  • онкологические заболевания;
  • тяжёлые формы заболеваний пародонта;
  • врождённые или приобретённые деформации прикуса;
  • возраст пациента до 16 лет;
  • иммунопатологические состояния;
  • системные заболевания соединительной ткани (ревматические, ревматоидные процессы, склеродермия и т. д.);
  • туберкулёз.

К относительным противопоказаниям относят курение, чрезмерное употребление алкоголя, очень юный или, напротив, слишком пожилой возраст пациента.

Особое значение имеет уровень гигиены полости рта. Имплантация не может быть выполнена без санации полости рта (все зубы должны быть вылечены), поскольку любой очаг инфекции в организме, особенно в полости рта, может свести на нет работу имплантолога из-за высокой вероятности последующего отторжения вживлённого имплантата.

Консилиум врачей в подарок Получить подарок