Ежедневно с 8:00 до 21:00

+7 (495) 987-21-21

пр. Ленина, д.21

+7 (495) 104-42-00

Отдел качества

+7 (495) 801-68-68

Общий номер

+7 (495) 987-21-21

пр. Ленина, д.21

+7 (495) 104-42-00

Отдел качества

Ежедневно с 8:00 до 21:00

Взрослая стоматология
+7 (495) 801-68-68

Общий номер

+7 (495) 987-21-21

пр. Ленина, д.21

+7 (495) 104-42-00

Отдел качества

Взрослая стоматология

Реставрация зубов

Реставрация зубов – это процедура, которая стала возможна лишь благодаря активному развитию науки – стоматологии в частности. Реставрация значительно отличается от протезирования индивидуальностью процедуры, тонкостью и предельной точностью работы. Такая процедура имеет несколько разновидностей, каждая из которых имеет свои достоинства, а потому подбирается специально для каждого пациента.

Стоматологи в нашей клинике гарантируют не только восстановление функциональности зуба или зубов, но и их эстетичный внешний вид, долговечность и красоту. В нашей клинике вас ждут только опытные специалисты, а стоимость наших услуг приятно вас удивит!

9 клиник

9 клиник

В 5 городах подмосковья:
Королёв, Мытищи, Щёлково, Пушкино и Балашиха.
с 1998 года

с 1998 года

Многолетний накопленный опыт и собственная научная база позволяет решать даже самые сложные случаи
250 тысяч пациентов

250 тысяч пациентов

Доверили нам своё здоровье.
80% из них
— пришли к нам по рекомендациям

Восстановление зубов от настоящих профессионалов

Реставрация зуба крайне желательна в следующих случаях:

  • при пломбировании (это позволит пломбе в дальнейшем не выделяться на фоне остальных зубов);
  • при анатомическом несовершенстве формы зуба;
  • при неэстетичных изменениях цвета эмали;
  • в случае обнаружения эстетических дефектов (сколов эмали, флюороза и т.д.).

Наши специалисты учтут форму, цвет зубов, степень выраженности дефекта и т.д. При необходимости они помогут исправить прикус и решить другие беспокоящие вас проблемы – быстро, аккуратно и очень качественно!

Быстрая запись на приём

Оставьте номер телефона и администратор перезвонит Вам в течение 5 минут.

img

Спасибо!

Наши специалисты свяжутся с вами в ближайшее время.

Ежедневно с 8:00 до 21:00

+7 (495) 801-68-68

Общий номер

+7 (495) 987-21-21

пр. Ленина, д.21

+7 (495) 104-42-00

Отдел качества

Услуги

Услуги

Наше оборудование

CEREC - технология художественной реставрации зубов за 2 часа

CEREC - технология художественной реставрации зубов за 2 часа

CAD/CAM система CEREC позволяет проводить лечение и протезирование зубов быстро и с высокой точностью – благодаря специальному сканеру, воспроизводящему модель зуба в 3D. CEREC Omnicam, MEDIT  i700,  PrimeScan.
Дентальный микроскоп

Дентальный микроскоп

Использование ультрасовременных дентальных микроскопов создает уникальные возможности для спасения «безнадежных зубов». Микроскопы:  Advanced,  Karl Kaps,  Carl Zeiss EXTARO 300, Prima D с вариоскопом.
3D томограф Galileos

3D томограф Galileos

Охватывает всю зубочелюстную систему, включая пазухи. А благодаря 3D-моделированию аппарат  позволяет повысить диагностическую точность и виртуально спланировать наиболее эффективное лечение.
Дентальный компьютерный томограф Planmeca ProMax

Дентальный компьютерный томограф Planmeca ProMax

Уникальный компьютерный томограф для качественной диагностики  и планирования лечения
Sleeper One - электронная система анестезии

Sleeper One - электронная система анестезии

Система анестезии нового поколения, объём, скорость и давление подачи препарата контролируется электронной системой. Специальные иглы обеспечивают безболезненность и снижают травматичность тканей.
Стоматологическая установка DENTSPLY SIRONA

Стоматологическая установка DENTSPLY SIRONA

Признаны стоматологами во всём мире, как наиболее совершенные и комфортные, обладающие передовыми характеристиками. Обладают наградами iF Design Gold Award и German Design Award.

Цены на восстановление зубов

Все цены

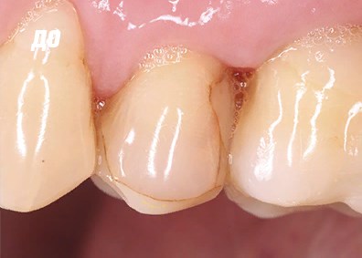
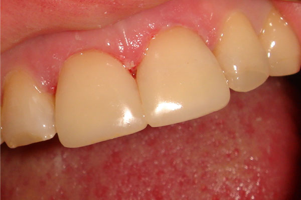
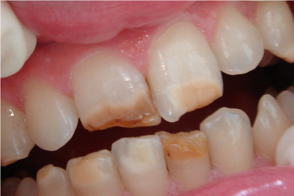
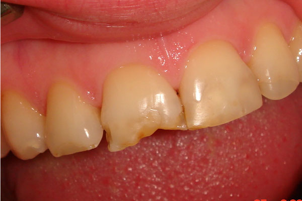
Реставрация зубов: фото До и После

Фото ДО
Фото ПОСЛЕ

Наведите для просмотра

Реставрация зубов / микропротезирование

Фото ДО
Фото ПОСЛЕ

Наведите для просмотра

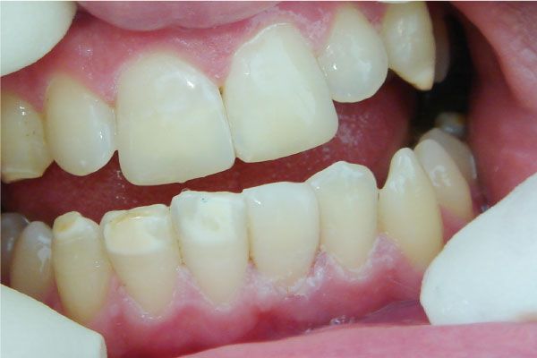
Реставрация зубов

Фото ДО
Фото ПОСЛЕ

Наведите для просмотра

Реставрация CEREC

Фото ДО
Фото ПОСЛЕ

Наведите для просмотра

Реставрация CEREC

Фото ДО
Фото ПОСЛЕ

Наведите для просмотра

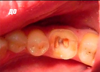
Реставрация жевательных зубов

Фото ДО
Фото ПОСЛЕ

Наведите для просмотра

Реставрация CEREC

Наши клиники

Клиника в г. Балашиха

Наши лицензии

Лечение проводится на основании действующих медицинских лицензий Л041-01162-50/00360420 и Л041-01162-50/00367813. Это гарантирует, что все процедуры — от диагностики до реставрации — выполняются безопасно, с использованием сертифицированных материалов и оборудования, в строгом соответствии с российскими стандартами.

Л041-01162-50/00360420 Л041-01162-50/00360420

Открыть PDF
Л041-01162-50/00367813-1 Л041-01162-50/00367813

Л041-01162-50/00367813-2 Л041-01162-50/00367813

Л041-01162-50/00367813-3 Л041-01162-50/00367813

Л041-01162-50/00367813-4 Л041-01162-50/00367813

Л041-01162-50/00367813-5 Л041-01162-50/00367813

Л041-01162-50/00367813-6 Л041-01162-50/00367813

Л041-01162-50/00367813-7 Л041-01162-50/00367813

Л041-01162-50/00367813-8 Л041-01162-50/00367813

Л041-01162-50/00367813 Л041-01162-50/00367813

Открыть PDF
Консилиум врачей в подарок Получить подарок