Ежедневно с 8:00 до 21:00

+7 (495) 987-21-21

пр. Ленина, д.21

+7 (495) 104-42-00

Отдел качества

+7 (495) 801-68-68

Общий номер

+7 (495) 987-21-21

пр. Ленина, д.21

+7 (495) 104-42-00

Отдел качества

Ежедневно с 8:00 до 21:00

Взрослая стоматология
+7 (495) 801-68-68

Общий номер

+7 (495) 987-21-21

пр. Ленина, д.21

+7 (495) 104-42-00

Отдел качества

Взрослая стоматология

Гигиена полости рта

Во всех продуктах, употребляемых в пищу человеком, содержатся кислоты, которые при взаимодействии с эмалью зубов, разрушают ее. Гигиена полости рта – это единственный способ сохранить надолго здоровье зубов. Если гигиена полости рта недостаточная то, спустя определенное время, зубы начинают портиться: появляется налет, который превращается затем в зубной камень, воспаляются десны, возникает кариес, периодонтит, пародонтит. Если не обратиться вовремя к специалисту в области стоматологии, то вы рискуете потерять зубы.

9 клиник

9 клиник

В 5 городах подмосковья:
Королёв, Мытищи, Щёлково, Пушкино и Балашиха.
с 1998 года

с 1998 года

Многолетний накопленный опыт и собственная научная база позволяет решать даже самые сложные случаи
250 тысяч пациентов

250 тысяч пациентов

Доверили нам своё здоровье.
80% из них
— пришли к нам по рекомендациям

Как проводится профессиональная гигиена полости рта

Ответим на вопросы: что такое гигиена полости рта, что она включает? Это гигиенические мероприятия, действие которых направлено на предотвращение возникновения заболеваний слизистой рта, десен и, конечно, зубов. Не только пищевые кислоты отрицательно влияют на зубную эмаль. Остатки пищи иногда застревают между зубами, а также между десной и зубом, при некачественной гигиене полости рта остатки начинают гнить, в результате происходит размножение гнилостных бактерий, которые отрицательно влияют на работу всех внутренних органов тела.

Быстрая запись на приём

Оставьте номер телефона и администратор перезвонит Вам в течение 5 минут.

img

Спасибо!

Наши специалисты свяжутся с вами в ближайшее время.

Ежедневно с 8:00 до 21:00

+7 (495) 801-68-68

Общий номер

+7 (495) 987-21-21

пр. Ленина, д.21

+7 (495) 104-42-00

Отдел качества

Услуги

Услуги

Врачи гигиенисты

Все врачи

Цены на гигиену полости рта

Все цены
  • Гигиена методом ClinPro для взрослых (услуга не оказывается в клинике г. Королёв, Космонавтов 11)

    10123

  • Глубокое фторирование эмали зубов с помощью геля APF

    1211

  • Местное применение реминерализирующих препаратов в области зуба, обеих челюстей эмаль-ликвидом

    3361

  • Профессиональная гигиена полости рта и зубов при постоянном прикусе

    9141

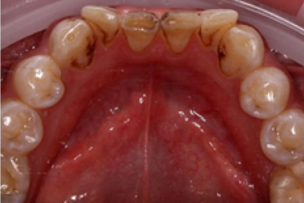
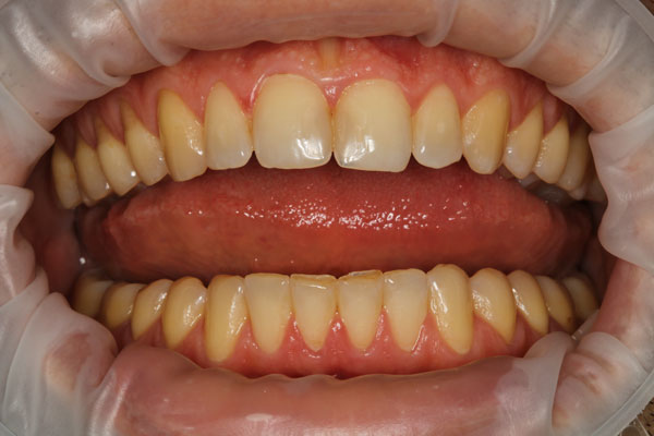
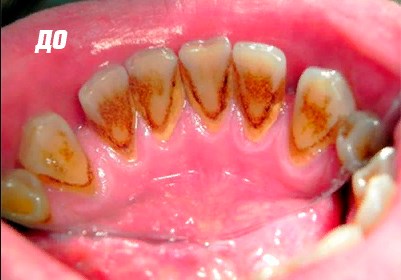
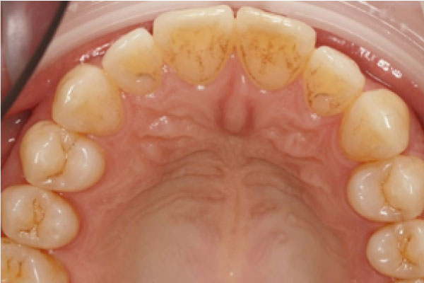
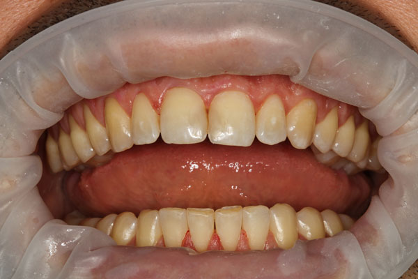
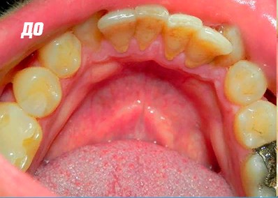
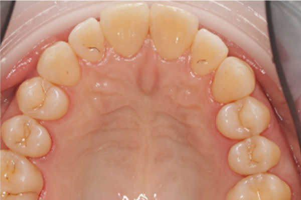
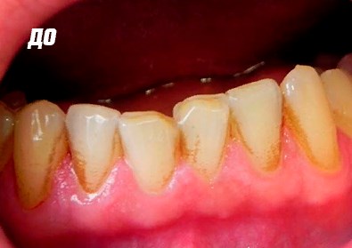
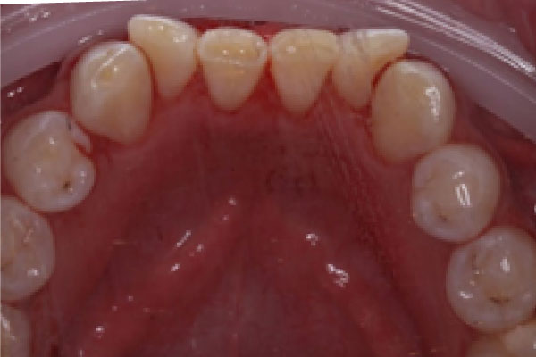
Гигиена полости рта - Фото До и После

Фото ДО
Фото ПОСЛЕ

Наведите для просмотра

Гигиена полости рта

Фото ДО
Фото ПОСЛЕ

Наведите для просмотра

Гигиена полости рта

Фото ДО
Фото ПОСЛЕ

Наведите для просмотра

Гигиена полости рта

Фото ДО
Фото ПОСЛЕ

Наведите для просмотра

Гигиена полости рта

Фото ДО
Фото ПОСЛЕ

Наведите для просмотра

Гигиена полости рта

Фото ДО
Фото ПОСЛЕ

Наведите для просмотра

Гигиена полости рта

Фото ДО
Фото ПОСЛЕ

Наведите для просмотра

Гигиена полости рта

Фото ДО
Фото ПОСЛЕ

Наведите для просмотра

Гигиена полости рта

Фото ДО
Фото ПОСЛЕ

Наведите для просмотра

Гигиена полости рта

Фото ДО
Фото ПОСЛЕ

Наведите для просмотра

Гигиена полости рта

Фото ДО
Фото ПОСЛЕ

Наведите для просмотра

Гигиена полости рта

Наши клиники

Клиника в г. Балашиха

Наши лицензии

Лечение проводится на основании действующих медицинских лицензий Л041-01162-50/00360420 и Л041-01162-50/00367813. Это гарантирует, что все процедуры — от диагностики до реставрации — выполняются безопасно, с использованием сертифицированных материалов и оборудования, в строгом соответствии с российскими стандартами.

Л041-01162-50/00360420 Л041-01162-50/00360420

Открыть PDF
Л041-01162-50/00367813-1 Л041-01162-50/00367813

Л041-01162-50/00367813-2 Л041-01162-50/00367813

Л041-01162-50/00367813-3 Л041-01162-50/00367813

Л041-01162-50/00367813-4 Л041-01162-50/00367813

Л041-01162-50/00367813-5 Л041-01162-50/00367813

Л041-01162-50/00367813-6 Л041-01162-50/00367813

Л041-01162-50/00367813-7 Л041-01162-50/00367813

Л041-01162-50/00367813-8 Л041-01162-50/00367813

Л041-01162-50/00367813 Л041-01162-50/00367813

Открыть PDF

Меры профилактики

Эмаль зуба разрушается постепенно, стоматологи рекомендую избегать постоянных перекусов, кислоты действуют в течение 20 минут, а в этом случае они оказывают постоянное воздействие. Слюна способна гасить действие кислоты, но не всегда естественная защита спасает, поэтому очень важно правильно подходить и к вопросам питания.

Зубной налет тоже отрицательно влияет на состояние зубной эмали, сначала появляется бесцветная пленка, в которой содержатся патогенные микроорганизмы. Именно зубной налет является частой причиной пожелтения зубов. Время начала образования зубного налета – 4 часа после последней чистки зубов, стоматологи по этой причине рекомендуют чистить зубы не реже 2-х раз в день, в идеале – после каждого приема пищи.

Зубной камень – это следствие уплотнения зубного налета, в камне присутствуют: остатки пищи, мертвые клетки, микроорганизмы, соли кальция, железа и фосфора. Зубной камень формируется в течение 4-6 месяцев около десны и между зубами.

Зубной камень становится одной из основных причин возникновения кровоточивости десен, кроме этого, отложения вызывают неприятный запах изо рта. В этом случае обычной ежедневной гигиеной полости рта в домашних условиях положение уже не спасти, необходимо обратится к специалисту, который удалит камень.

Если образования не удалять, то через некоторое время они начнут отодвигать десну, появится пародонтоз, в результате зубы постепенно расшатываются и выпадают. Обратите внимание на качество своей зубной щетки, пасты, некачественные продукты для гигиены полости рта также являются частой причиной появления зубного камня. Специалисты рекомендуют пережевывать пищу в обеих сторонах рта. Еще частые причины – мягкая пища и нарушения в работе обмена веществ.

Не допускайте образования зубного камня, вовремя удаляйте зубной налет и правильно питайтесь, правильная гигиена полости рта защищает от заболеваний на 90%! Проще предупредить, чем лечить, и намного дешевле.

Профилактика:

  • индивидуальная – это ежедневная правильная гигиена полости рта;
  • профессиональная – производится при помощи специалистов, в домашних условиях которую выполнить невозможно: удаление камня, отбеливание, полировка, покрытие эмали.

Индивидуальная профилактика

Правильный уход за полостью рта – это не только своевременная чистка зубов и правильный режим питания, необходимо обращать внимание на продукты, которые вы употребляете. Например, негативно на состояние зубной эмали влияют: антоновские яблоки, слишком кислые цитрусовые, леденцы и ириски.

Помните, что во всем должна быть мера, чистите зубы не реже 2-х раз в день, при этом важно правильно двигать зубной щеткой. После очередного приема пищи применяйте зубную нить, чтобы удалить остатки между зубами, держите нить под углом 45° и не увлекайтесь процессом.

Стоматологи советуют жевать жевательную резинку после каждого перекуса в течение 5-10 минут, жевание способствует обильному выделению слюны, которая, как уже говорилось, гасит действие пищевых кислот. Если у вас нет жевательной резинки, то просто прополощите рот водой, в идеале – желательно носить с собой зубную щетку.

К выбору зубной паст нужно подходить ответственно, пасты делятся на: гигиенические и с лечебно-профилактическим действием. Последние оказывают широкий профилактический эффект, они снижают риск возникновения кариеса, укрепляют эмаль, питают десны. Обратите внимание, что в зубной пасте может содержаться только один из элементов: или фтор, или кальций, последний препятствует усвоению фтора.

Пользуйтесь противовоспалительными пастами, которые избавляют от отечности и раздражения, в них содержатся лекарственные травы, например, ромашка или шалфей. Отбеливающими пастами, которые содержат соду (бикарбонат натрия), пользуйтесь 2 раза в неделю, иначе вы рискуете повредить эмаль.

Хорошие отзывы у зубного порошка, который готовят из мела и активных добавок. Порошок дешевле зубной пасты, но он отлично справляется с гигиеной полости рта. Еще немного о щетках: запомните, что изделия с жесткой щетиной выпускаются для съемных протезов, выбирайте мягкие варианты или со средней жесткостью.

У щетинок должны отсутствовать заусенцы, а концы должны быть закруглены, каждые два или три месяца зубная щетка подлежит замене. Электрические зубные щетки хорошо очищают полость рта, но по отзывам стоматологов, обычная щетка не уступит, если правильно ей пользоваться. Можете дополнительно использовать ирригатор, который струйками воды удаляет остатки пищи и образовавшийся зубной налет.

Обязательно посещайте стоматолога два раза в год для осмотра, если у вас уже есть камни или кровоточат десны, есть кариес, то не запускайте болезни. Специалисты СК «Интердентос» в Балашихе готовы оказать вам профилактическую и лечебную помощь, также в клинике вы можете приобрести современные и эффективные средства по уходу за полостью рта.

Консилиум врачей в подарок Получить подарок