Виниры
Быстро и безболезненно, на долгие годы, сделать свою улыбку белоснежной, ровной, сияющей – это ли не мечта тысяч людей во всём мире? В нашей клинике есть решение такой проблемы – виниры!
Что такое виниры?
Виниры – это стоматологический метод реставрации зубов, который стремительно набирает популярность во всём мире. Представляет собой тоненькую, около 0,5 мм, пластинку-накладку, которая приклеивается на зуб. Виниры не теряют своей привлекательности долгие годы, делают зубки глянцевыми и ровными, не меняют цвет. В клинике «Интердентос» мы быстро изготовим индивидуальные виниры, которые идеально подойдут вашим зубам по форме, цвету, размеру и т.д. Они позволят решить целый ряд серьёзных эстетических проблем:
- потемнение эмали и старых пломб;
- избыток фтора – флюороз;
- неэстетичная форма зубов;
- некрасивые, широкие межзубные щёлочки;
- сколы, трещины эмали;
- тёмные пятна и т.д.
Установка виниров безболезненна, а занимает она совсем немного времени, так что это отличное решение для тех, кому надоело стесняться собственной улыбки!
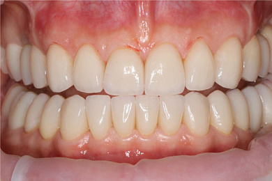
Примеры установки виниров
Наши стоматологи ортопеды
Цены на установку виниров
Наши лицензии:
Какими они бывают?
Первый вид – это так называемые композитные накладки, которые применяются в терапевтических целях и, собственно говоря, винирами не являются – такое название композит получил из-за схожести методики покрытия зубной поверхности. Композит быстро окрашивается и изнашивается, а потому долго служить он не может (по крайней мере, без регулярной полировки в кабинете стоматолога) в то время как настоящим винирам такое не грозит.
Второй вид – это керамические или фарфоровые виниры. Они изготавливаются индивидуально и идеально повторяют естественную форму зуба. Цвет также подбирается индивидуально: он максимально приближен к естественному тону зубов наших пациентов, чтобы разница не бросалась в глаза. Установка таких виниров несколько отличается от композита: врач клиники «Интердентос» делает силиконовый оттиск зубного ряда, который передаёт в стоматологическую лабораторию. Непосредственно перед установкой зубы слегка шлифуются, а затем на них наклеиваются виниры, делающие улыбку более эстетичной. Они не отторгаются организмом и устанавливаются очень быстро. Срок службы превышает 10 лет.
Почему нам доверяют
Установка виниров – это очень щадящий метод реставрации зубов, возвращения им функциональности и эстетичности. Этот популярный метод в клинике «Интердентос» отличается и доступной стоимостью. Профессиональные доктора бесплатно проконсультируют вас по вопросам протезирования, помогут с подбором формы и цвета виниров и безболезненно установят их.
Мы предоставляем гарантию на материалы и качество работы, а значит, ваша улыбка будет красивой всегда! Для того чтобы узнать подробнее или записаться на прием к врачу, обращайтесь по телефонам, указанным на сайте, или оставляйте заявку в онлайн-режиме.

группа Вконтакте
канал в Телеграм


Семейная клиника