Профессиональная гигиена зубов у детей в Балашихе.
Если ваш ребенок регулярно чистит зубы, использует подходящую зубную пасту, мы тем не менее все равно рекомендуем хотя бы раз в полгода проходить профилактический осмотр и гигиеническую чистку. Ведь даже соблюдая все правила домашней гигиены, только при профессиональной гигиене в клинике возможно удаление всех зубных отложений.
Когда проводится гигиеническая чистка зубов детям?
Процедура гигиенической чистки детям проводится по медицинским показаниям, в возрасте от 2,5 лет. Используются щадящие технологии очистки ClinPro и специальный, мягкий абразивный состав, обладающий приятным, сладковатым вкусом..
Показаниями считаются следующие симптомы::
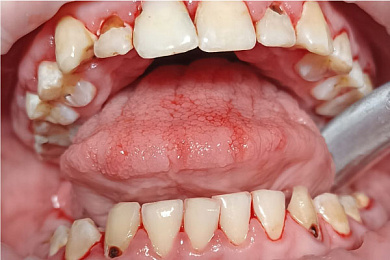
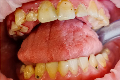
- Повышенное количество зубного налета
- Отложения зубного камня
- Процессы воспаления дёсен
- Регулярная профилактика заболеваний полости рта
Примеры лечения зубов:
Статьи
Врачи направления:
Цены на чистку зубов детям
Наши лицензии:
Нужно ли делать профессиональную чистку зубов детям?
Если вас ребенок часто посещает стоматолога по причине проблем с зубами – стоит рассмотреть регулярные процедуры профессиональной гигиены. Если же малыш не испытывает проблем с зубами, ему будет достаточно повседневной чистки обычными пастами, однако все равно не исключает необходимости профилактических осмотров хотя бы раз в полгода.
Запишитесь по телефону на консультацию к детскому стоматологу в клинику «Интердентос» г. Балашиха – и мы с удовольствием проконсультируем вас и вашего малыша, как правильно следить за зубами и в каком возрасте следует начинать профессиональную гигиеническую чистку зубок.

группа Вконтакте
канал в Телеграм




Семейная клиника