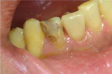
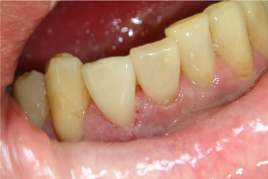
Терапевтическая стоматология занимается лечением кариеса и его осложнений (пульпита, периодонтита, периостита) и болезней зубов некариозного происхождения.
Профессиональное решение, с искренней заботой о Вашем будущем здоровье !
Подпишитесь на наши социальные сети и вы не только будете узнавать о всех специальных предложениях первыми, но и сможете узнать о новинках в области стоматологии.
При недостаточной гигиене полости рта на зубах образуется налет – своеобразная пленка из бактерий. Если чистить зубы слишком редко либо некачественно, то такая бактериальная пленка со временем превратится в зубной камень
Лечение кариеса (стоимость без учета снимка и анестезии)
от 12018 р.
Лечение под микроскопом
Эндодонтическое лечение пульпита под микроскопом ( за 1 канал) ( стоимость без учета снимка и анестезии )
от 23735 р.
Лечение кариеса под микроскопом (стоимость без учета снимка и анестезии)
от 13490 р.
Лечение пульпита/периодонтита
Эндодонтическое лечение пульпита ( за 1 канал) (стоимость без учета снимка и анестезии)
от 21427 р.
Восстановление жевательного зуба после эндодонтического лечения
от 13638 р.
Восстановление зуба пломбировочным материалом, с использованием анкерных штифтов, фронтального
от 15378 р.
Восстановление зуба пломбировочным материалом, с использованием анкерных штифтов, жевательного
от 12686 р.
Восстановление зуба пломбировочным материалом, с использованием стекловолоконного штифта, фронтального
от 14213 р.
Восстановление зуба пломбировочным материалом, с использованием стекловолоконного штифта, жевательного
от 13396 р.
Наши лицензии:
Распространенные причины обращения в стоматологию г. Балашиха:
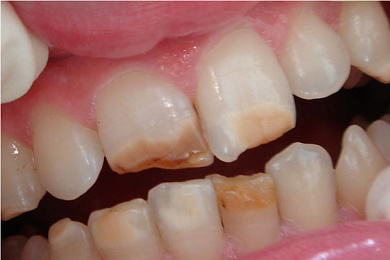
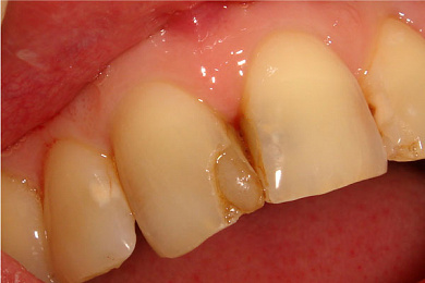
Кариес — патологический процесс, начинающийся после прорезывания зубов, с образованием полости под действием эндо- и экзогенных факторов. Это необратимый процесс, требующий обязательного лечения (удаление пораженных кариесом тканей зуба и восстановление анатомической формы зуба с помощью специальных материалов). Кариес — очень распространённое заболевание. По статистике, 95-98% взрослого населения имеют запломбированные зубы.
Пульпит — воспаление сосудисто-нервного пучка зуба (пульпы). Наиболее часто пульпит является осложнением кариеса, а также может быть следствием ошибочных действий при препарировании зуба под ортопедические конструкции, некачественные пломбы, оперативные вмешательства на пародонте, воздействие химических веществ). Пульпиты подразделяются на острые и хронические. Под острым пульпитом понимают состояние, когда инфекция проникла в пульпу при закрытой пульпарной камере (через тонкую стенку разрушенного кариесом зуба). Хронические пульпиты чаще всего являются исходом острого. Основные признаки острого пульпита — очень сильные боли, которые усиливаются ночью. Боли носят периодический характер.
Периодонтит — это воспаление периодонта, характеризующееся нарушением целостности связок, удерживающих зуб в кости, окружающей зуб и резорбции костной ткани. Инфекционный периодонтит в основном является осложнением кариеса. Травматический периодонтит возникает в результате как значительного, однократного воздействия (удар при падении или попадании в лицо твёрдых тяжёлых предметов), так и вследствие незначительной, но хронической травмы (завышенная пломба, откусывание проволоки или нитки при отсутствии рядом стоящих зубов).
Периостит — воспаление надкостницы; применительно к челюсти периостит часто называют флюсом и выражается в опухании десны, сопровождающейся сильной болью. В результате воспалительных заболеваний зубов (периодонтит и пульпит), может развиться периостит челюсти. Реже заболевание возникает после открытых челюстных переломов и ран мягких тканей. Также воспаление надкостницы может проявиться в результате попадания инфекции через кровеносную и лимфатическую системы от инфицированных органов. Заболевание начинается с небольшого опухания десны. Позже отёчность увеличивается и вместе с ней увеличивается и боль. Через день-два образовывается абсцесс, который является причиной отёка щеки и губ.
Болезни зубов некариозного происхождения - Гипоплазия, Флюороз, Клиновидный дефект, Эрозия зубов, Некроз твердых тканей зубов, Гиперестезия зубов, Патологическая стираемость зубов, Травма зубов — острая и хроническая.
Замечательный специалист! Наблюдаем у нее двух детей более 3 лет. Делали чистки, запечатывания, операцию, пломбы. Чистый кабинет, прекрасная коммуникация врача и ассистента с детьми и родителями. Рекомендуем Мадину Аликовна всем детям и взрослым!
Прикольная стоматология, все девчонки маленького роста ну или я большой, вообщем ходил там как Гулливер))) вообщем по делу:лечился около года назад в данной клинике, вывод: Дорофеева крутая! Вообще полностью ей доверяю, не суетится, знает что делает. Замутила у меня в ротовой полости кап. ремонт, все выполнила на отли…
Прикольная стоматология, все девчонки маленького роста ну или я большой, вообщем ходил там как Гулливер))) вообщем по делу:лечился около года назад в данной клинике, вывод: Дорофеева крутая! Вообще полностью ей доверяю, не суетится, знает что делает. Замутила у меня в ротовой полости кап. ремонт, все выполнила на отлично, так как прошёл год и проблем вообще нет. Пару раз, ну или больше пошутил на приеме, что сейчас потеряю сознание или точнее сказал что (отъеду), но вы в таком случае продолжайте)). Потому ,что данный мастер своего дела каждые 5 минут спрашивала больно ли мне, как будто я признаюсь)))) и еще раз Дорофеева топ! За остальных не знаю так как нашел ,что искал и к другим ни ни .Из минусов - наверное цена, хотя мастерство ведь оплачивать надо, поэтому у Артура нет претензии!)))
Большая благодарность врачам клиники: Харченко Р. А., Дорофеевой М. А., Бобкову Р. В., Поздняковой Н. Н.- за высокий профессионализм и внимательное отношение!
Большое человеческое спасибо! У меня сложная проблема, требующая комплексного решения, но слаженный коллектив помогает в её решении.
Большая благодарность врачам клиники: Харченко Р. А., Дорофеевой М. А., Бобкову Р. В., Поздняковой Н. Н.- за высокий профессионализм и внимательное отношение! <br>
<br>
Большое человеческое спасибо! У меня сложная проблема, требующая комплексного решения, но слаженный коллектив помогает в её решении. <br>
<br>
Желаю успехов, удачи и крепкого здоровья всему коллективу клиники Интердентос в Балашихе.
Выражаю огромную благодарность замечательным специалистам клиники: Поздняковой Наталье Николаевне, Белорукову Владимиру Викторовичу, Тугариновой Елене Николаевне за высокий профессионализм, внимательное отношение и полезные советы; всем сотрудникам клиники (ассистентам, администраторам) за доброжелательность, отзывчив…
Выражаю огромную благодарность замечательным специалистам клиники: Поздняковой Наталье Николаевне, Белорукову Владимиру Викторовичу, Тугариновой Елене Николаевне за высокий профессионализм, внимательное отношение и полезные советы; всем сотрудникам клиники (ассистентам, администраторам) за доброжелательность, отзывчивость, отличную работу. Большое спасибо всем! Так важно, приходя на лечение, быть уверенным, что всё будет хорошо. И врачи, и другие специалисты клиники всегда обеспечивают качественный результат и даже замечательное настроение!
Хочу выразить огромную благодарность Дорофеевой Марине Алексеевне за терпение и профессионализм! Пробует спасти мой зуб и ,я уверена, успешно! Спасибо за такого профессионала!
Ставила коронки у прекрасного врача Тарелко, предварительно пройдя терапию у Дорофеевой. Прекрасные врачи. Очень внимательный подход к клиенту, работа выполняется исключительно аккуратно. Клиентоориентированный сервис, приятно то, что особое внимание уделяется стерильности, все инструменты открываются на глазах у паци…
Ставила коронки у прекрасного врача Тарелко, предварительно пройдя терапию у Дорофеевой. Прекрасные врачи. Очень внимательный подход к клиенту, работа выполняется исключительно аккуратно. Клиентоориентированный сервис, приятно то, что особое внимание уделяется стерильности, все инструменты открываются на глазах у пациента. Продолжаю проходить лечение в данной клинике, рекомендую к посещению.
Проходила лечение у врача Дорофеевой. Так комфортно я себя еще не чувствовала ни в одной клинике. Очень аккуратный и внимательный врач, ничего лишнего все по делу. Спасибо Вам огромное за такой подход и чуткость!
Хочу выразить огромнейшую благодарность Анне Валерьевне Егоровой и всему персоналу клиники! От прошлого лечения в другой клиники появился неконтролируемый страх (до обмороков) на лечение у стоматологов, но Анна Валерьевна и анестезиолог Александр Валерьевич окружили такой заботой и вниманием, что страх раст…
Хочу выразить огромнейшую благодарность Анне Валерьевне Егоровой и всему персоналу клиники! От прошлого лечения в другой клиники появился неконтролируемый страх (до обмороков) на лечение у стоматологов, но Анна Валерьевна и анестезиолог Александр Валерьевич окружили такой заботой и вниманием, что страх растворился сам собой. За качество проделанной работы молчу, все на высшим уровне!! Очень довольна! Спасибо вам огромное!!!
Благодарю терапевта-стоматолога Егорову А.И., хирурга Игнатченко А.Н., анестезиолога Стоянова Н.Т. за высокий уровень профессионализма и внимательное отношение к пациенту.
Спасибо!
Замечательный специалист! Наблюдаем у нее двух детей более 3 лет. Делали чистки, запечатывания, операцию, пломбы. Чистый кабинет, прекрасная коммуникация врача и ассистента с детьми и родителями. Рекомендуем Мадину Аликовна всем детям и взрослым!
Прикольная стоматология, все девчонки маленького роста ну или я большой, вообщем ходил там как Гулливер))) вообщем по делу:лечился около года назад в данной клинике, вывод: Дорофеева крутая! Вообще полностью ей доверяю, не суетится, знает что делает. Замутила у меня в ротовой полости кап. ремонт, все выполнила на отлично, так как прошёл год и проблем вообще нет. Пару раз, ну или больше пошутил на приеме, что сейчас потеряю сознание или точнее сказал что (отъеду), но вы в таком случае продолжайте)). Потому ,что данный мастер своего дела каждые 5 минут спрашивала больно ли мне, как будто я признаюсь)))) и еще раз Дорофеева топ! За остальных не знаю так как нашел ,что искал и к другим ни ни .Из минусов - наверное цена, хотя мастерство ведь оплачивать надо, поэтому у Артура нет претензии!)))
Большая благодарность врачам клиники: Харченко Р. А., Дорофеевой М. А., Бобкову Р. В., Поздняковой Н. Н.- за высокий профессионализм и внимательное отношение!
Большое человеческое спасибо! У меня сложная проблема, требующая комплексного решения, но слаженный коллектив помогает в её решении.
Желаю успехов, удачи и крепкого здоровья всему коллективу клиники Интердентос в Балашихе.
Выражаю огромную благодарность замечательным специалистам клиники: Поздняковой Наталье Николаевне, Белорукову Владимиру Викторовичу, Тугариновой Елене Николаевне за высокий профессионализм, внимательное отношение и полезные советы; всем сотрудникам клиники (ассистентам, администраторам) за доброжелательность, отзывчивость, отличную работу. Большое спасибо всем! Так важно, приходя на лечение, быть уверенным, что всё будет хорошо. И врачи, и другие специалисты клиники всегда обеспечивают качественный результат и даже замечательное настроение!
Хочу выразить огромную благодарность Дорофеевой Марине Алексеевне за терпение и профессионализм! Пробует спасти мой зуб и ,я уверена, успешно! Спасибо за такого профессионала!
Ставила коронки у прекрасного врача Тарелко, предварительно пройдя терапию у Дорофеевой. Прекрасные врачи. Очень внимательный подход к клиенту, работа выполняется исключительно аккуратно. Клиентоориентированный сервис, приятно то, что особое внимание уделяется стерильности, все инструменты открываются на глазах у пациента. Продолжаю проходить лечение в данной клинике, рекомендую к посещению.
Проходила лечение у врача Дорофеевой. Так комфортно я себя еще не чувствовала ни в одной клинике. Очень аккуратный и внимательный врач, ничего лишнего все по делу. Спасибо Вам огромное за такой подход и чуткость!
Хочу выразить огромнейшую благодарность Анне Валерьевне Егоровой и всему персоналу клиники! От прошлого лечения в другой клиники появился неконтролируемый страх (до обмороков) на лечение у стоматологов, но Анна Валерьевна и анестезиолог Александр Валерьевич окружили такой заботой и вниманием, что страх растворился сам собой. За качество проделанной работы молчу, все на высшим уровне!! Очень довольна! Спасибо вам огромное!!!
Благодарю терапевта-стоматолога Егорову А.И., хирурга Игнатченко А.Н., анестезиолога Стоянова Н.Т. за высокий уровень профессионализма и внимательное отношение к пациенту.
Спасибо!