Ежедневно с 8:00 до 21:00

+7 (495) 987-21-21

пр. Ленина, д.21

+7 (495) 104-42-00

Отдел качества

+7 (495) 801-68-68

Общий номер

+7 (495) 987-21-21

пр. Ленина, д.21

+7 (495) 104-42-00

Отдел качества

Ежедневно с 8:00 до 21:00

Взрослая стоматология
Протезирование

Несъемное протезирование

Съемное протезирование

+7 (495) 801-68-68

Общий номер

+7 (495) 987-21-21

пр. Ленина, д.21

+7 (495) 104-42-00

Отдел качества

Взрослая стоматология

Ортопед

Шаноян Арман Георгиевич

  • Эксперт по эстетике улыбки
  • Специалист по сложным случаям 
  • Реставрация коронками и винирами
Шаноян Арман Георгиевич
Арман Георгиевич - опытный стоматолог-ортопед, общий стаж работы в стоматологии 23 года. В медицинском центре работает с 2013 года. 

Доктор специализируется на всех видах съемных и несъемных ортопедических конструкций. В своей работе он активно использует современное оборудование, включая компьютерные сканеры и слепки, чтобы обеспечить эффективное и качественное лечение в зависимости от типа конструкции и потребностей пациента.

Доктор легко находит индивидуальный подход к каждому пациенту не зависимо от возраста. 
Благодаря своему опыту и профессионализму, Арман Георгиевич способен эффективно решать проблемы своих пациентов и обеспечивать им качественное лечение.

Кроме того, у доктора много пациентов по рекомендации, что свидетельствует о высокой оценке его работы. Доверие и уважение пациентов являются подтверждением его профессионализма и заботы о пациентах.

Стаж работы

23 года

Принимает клиниках

  • Клиника в г. Пушкино
  • Клиника в г. Балашиха

Специализация

  • Ортопед

Сертификаты

1882
1883
1884
1885
1886
1887
1888
1889
1890
1891
1892
1893
1894
1895
1896
1897
1898
1899
1900

Отзывы по врачу

Читать все отзывы

Врач: Шаноян Арман Георгиевич

Обслуживаюсь здесь с 2009 года и результатом всегда доволен. Доктор Шаноян А.Г. отнесся очень внимательно и доброжелательно к моей проблеме и профессионально наметил путь лечения. Большое человеческое СПАСИБО докторам Шаноян А.Г. и Лагутину С.А. за п...
Обслуживаюсь здесь с 2009 года и результатом всегда доволен. Доктор Шаноян А.Г. отнесся очень внимательно и доброжелательно к моей проблеме и профессионально наметил путь лечения. Большое человеческое СПАСИБО докторам Шаноян А.Г. и Лагутину С.А. за прекрасную и качественно выполненную работу. С уважением Аулов Н.Н., 89 лет.
Показать весь отзыв

Врач: Шаноян Арман Георгиевич

Благодарю за хорошо сделанную работу! Учтены все мои пожелания. Отдельное спасибо коллективу за вежливое и внимательное отношение к клиенту!...
Благодарю за хорошо сделанную работу! Учтены все мои пожелания. Отдельное спасибо коллективу за вежливое и внимательное отношение к клиенту!
Показать весь отзыв

Врач: Шаноян Арман Георгиевич

Хочу поблагодарить клинику Интердентос за квалифицированных специалистов. Знаем эту клинику более десяти лет, лечимся всей семьёй. Спасибо  за уют, чистоту, комфортное пребывание во время лечения.
Отдельная благодарность доктору ортоп...
Хочу поблагодарить клинику Интердентос за квалифицированных специалистов. Знаем эту клинику более десяти лет, лечимся всей семьёй. Спасибо  за уют, чистоту, комфортное пребывание во время лечения.
Отдельная благодарность доктору ортопеду Шанояну Арману Георгиевичу. Огромное спасибо доктору за проделанную работу, за высочайший профессионализм, за добросовестное исполнение своих обязанностей, за индивидуальный подход, делая удобные протезы- как свои родные зубы! Была очень сложная работа, с восстановлением десны для
протезирования. Его призвание - любовь и кропотливый труд, делают пациентов счастливыми, здоровыми, улыбчивыми!!!
От всей души желаю доктору  крепкого здоровья, успехов в таком нужном и востребованном труде.
Пусть ваш благородный труд приносит вам лишь радость и удовлетворение.
С уважением Кузнецова Валентина Ивановна.
Показать весь отзыв

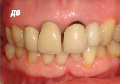
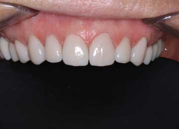
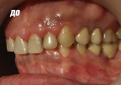
Работы врача

Фото ДО
Фото ПОСЛЕ

Наведите для просмотра

Протезирование коронками

Фото ДО
Фото ПОСЛЕ

Наведите для просмотра

Протезирование коронками

Фото ДО
Фото ПОСЛЕ

Наведите для просмотра

Тотальная реабилитация пациента

Клиники, в которых принимает специалист

Клиника в г. Пушкино

Клиника в г. Балашиха