Лечение под наркозом детей в Балашихе
Лечение детских зубов под наркозом позволяет произвести сразу большой объём лечения. Кроме этого он используется в крайних случаях, если ребёнок испытывает сильнейший стресс при стоматологических процедурах, на которых не получается повлиять никакими другими способами.
Что означает лечение зубов "во сне" ?
Лечение зубов "во сне" - так ещё по-другому называют детский наркоз, это обусловлено ещё тем, что препараты, используемые для детского наркоза действуют очень щадяще и мягко погружают ребёнка в сон, мало отличающийся от естественного.
Ребёнок после наркоза просыпается, будто после хорошего и долго сна, а подготовка к такому наркозу тоже относительно проста: достаточно лишь заранее записаться на консультацию к врачу-анестезиологу и сдать несколько необходимых анализов.
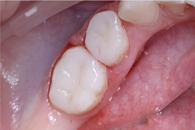
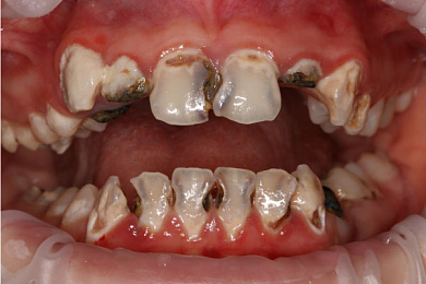
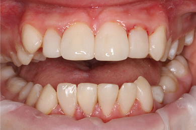
Примеры лечения зубов:
Статьи
Врачи направления:
Цены:
Наши лицензии:
Какие показания к лечению зубок под детским наркозом?
- Сильный стресс
- Аллергия или низкая эффективность местных анестезиологических препаратов
- Невозможность установить контакт с ребёнком, крайняя неусидчивость
- Требуется сложная и большая по объёму и времени операция
Почему стоит довериться нам
Клиника «Интердентос» в г. Балашиха – это команда врачей-профессионалов, которые провели множество успешным операцией под наркозом.
Сам наркоз действует уже спустя несколько минут, а после окончания процедур - быстро выведется из детского организма.
Мы бережно относимся к каждому ребёнку и оказываем индивидуальный подход. Решение о лечение ребёнка под наркозом принимается только после тщательной диагностики!
Отзывы наших пациентов:
С уважением, Клюева Н.И.

группа Вконтакте
канал в Телеграм



Семейная клиника