Реставрация молочных зубов в Балашихе
Красивая улыбка – это прерогатива не только взрослых! В нашей стоматологической клинике «Интердентос» опытные доктора подарят голливудскую улыбку даже самым маленьким пациентам!
Почему нужно лечить и восстанавливать молочные зубы?
Детская эстетическая стоматология включает в себя несколько основных направлений:
- исправление прикуса;
- замещение отсутствующих зубов;
- реставрация зубов.
Обычно эстетическая стоматология требуется, когда зуб полностью или частично разрушен – относиться к этой проблеме несерьёзно не стоит, ведь отсутствие зуба и малышей приводит к смещению зубного ряда и возникновению проблем с прикусом, щелей и т.д.
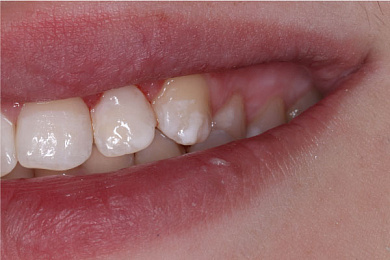
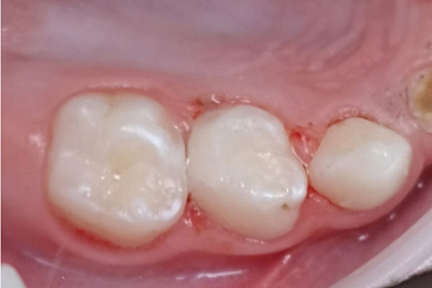
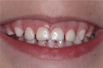
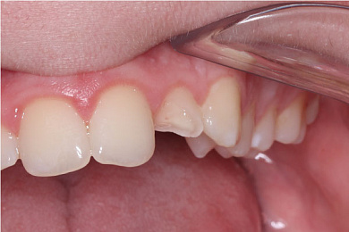
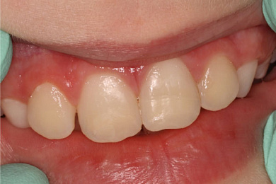
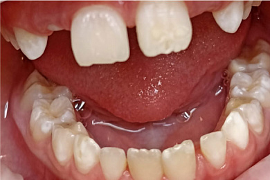
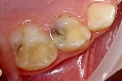
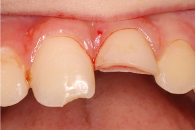
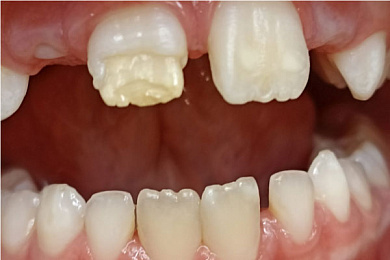
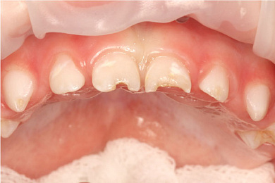
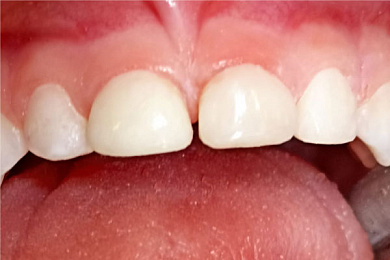
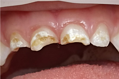
Примеры лечения зубов:
Статьи
Врачи направления:
Цены на реставрацию молочных зубов в Балашихе
Наши лицензии:
В нашей клинике используются только инновационные методы и современное оборудование, а также биологически совместимые расходные материалы, так что результат будет безупречен!
Реставрация помогает восстановить функцию зубов, избежать вышеуказанных рисков, а также в будущем исключить возможность неправильного произношения отдельных звуков и слов, связанных с проблемами с зубным рядом.
Доктора клиники «Интердентос» принимают решение о методике реставрации зуба индивидуально для каждого пациента. Это могут быть:
- детские коронки;
- пломбирование;
- использование затвердевающего на свету композита и т.д.
Обращаясь к нам, вы делаете выбор в пользу красоты и здоровья вашего малыша!
Отзывы наших пациентов:


группа Вконтакте
канал в Телеграм



Семейная клиника