Молочные зубы чувствительны к возникновению кариеса. По этой причине гигиена полости рта у малышей играет важную роль для предотвращения его появления. Даже самая качественная зубная паста не сможет гарантировать защиту от разрушения зубов. Кариес, оставленный без лечения в надежде на скорую смену молочных коренными, способен уничтожить зубы ребенка всего за несколько лет, а кроме этого вызывает осложнения, которые влияют на формирование постоянных зубов.
Только своевременное лечение и регулярные профилактические осмотры станут залогом красивых и здоровых зубов у детей. И с этим вопросом вы всегда можете обратиться в стоматологическую клинику «Интердентос» в г. Балашиха!
Профессиональное решение, с искренней заботой о Вашем будущем здоровье !
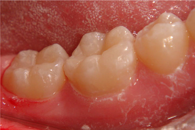
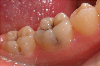
Традиционное лечение кариеса подразумевает использование бормашинки. Это не самая приятная процедура, вызывающая болезненные ощущения и дискомфорт, особенно когда речь идет о детях. К сожалению, в запущенном состоянии без неё кариес не победить.
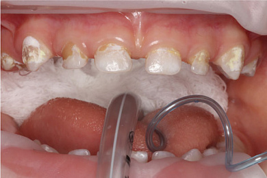
Если же обратиться с ребенком к стоматологу на ранней стадии развития, то возможно лечение с применением технологии ICON, которая состоит в нанесении на поврежденный участок специального композитного материала без предварительного бурения.
Если же без бормашинки не обойтись, лечение проводится под анестезией с помощью специального иньектора. Его укол менее болезненный, чем у обычного шприца.
Подпишитесь на наши социальные сети и вы не только будете узнавать о всех специальных предложениях первыми, но и сможете узнать о новинках в области стоматологии.
Мы воспринимаем это как должное, ведь когда-то сами были готовы на что угодно, лишь бы не идти к врачу. Но сейчас сами родители просто обязаны сделать для своего ребенка все возможное, чтобы разрешить распространенную ситуацию, когда ребенок боится стоматолога.
Многие родители уверены, что нет никакого смысла лечить молочные зубы, ведь они обязательно поменяются. К сожалению, это опасное заблуждение чревато серьезными последствиями.
Многие родители считают, что молочные зубы можно вообще не лечить, поскольку вскоре они сменятся на постоянные. К сожалению, это огромное заблуждение. Дело в том, что игнорирование проблемы может вызвать ряд осложнений:
неправильное направление роста постоянных зубов;
повышение вероятности возникновения периодонтита и пульпита;
появление боли и отеков;
переход кариеса на постоянные зубы.
Также стоит учитывать, что пораженные зубы отличаются от здоровых, и дети часто страдают от насмешек сверстников по этому поводу. Помимо одолевающей зубной боли, ребенок в самом раннем возрасте может столкнуться с развитием комплексов: родители не должны допустить этого!
Счастливый ребёнок – здоровый ребенок, и зубы в этом тождестве играют одну из ключевых ролей.
Детские стоматологи клиники «Интердентос» знают, как подобрать правильный ключик к каждому пациенту. После необходимых процедур, ребёнок может самостоятельно выбрать цвет пломбы, и посещение стоматолога превратится в интересную игру! Но это лишь малая доля преимущество нашей клиники. Главное – мы гарантируем, что сделаем всё возможное, чтобы зубы ваших детей были красивыми и здоровыми!
Сын у неё наблюдается уже не первый год, врач нравится. Ребёнок (с 4 лет) идёт в стоматологию без страха, ( нашли подход)ходим и лечить и выдирать молочные зубы, а не только на профилактику. Врач очень деликатная, улыбчивая, легко находит подход к ребёнку, помогает адаптироваться. Ребенок только к ней идет на прием. В…
Сын у неё наблюдается уже не первый год, врач нравится. Ребёнок (с 4 лет) идёт в стоматологию без страха, ( нашли подход)ходим и лечить и выдирать молочные зубы, а не только на профилактику. Врач очень деликатная, улыбчивая, легко находит подход к ребёнку, помогает адаптироваться. Ребенок только к ней идет на прием. Врач от Бога. Большое Вам спасибо.
Отличная стоматология, лечила ребёнка 3,5 года, очень вежливый и приветливый персонал, от ресепшена и до врачей. Огромное спасибо врачу Мадине Аликовне, сын у меня боязливый, с врачами осторожничает, с момента входа в кабинет, Мадина Аликовна все ему показывала и рассказывала, заинтересовала его так что, не было даже …
Отличная стоматология, лечила ребёнка 3,5 года, очень вежливый и приветливый персонал, от ресепшена и до врачей. Огромное спасибо врачу Мадине Аликовне, сын у меня боязливый, с врачами осторожничает, с момента входа в кабинет, Мадина Аликовна все ему показывала и рассказывала, заинтересовала его так что, не было даже намёка на капризы и страхи, очень рекомендую эту стоматологию, соответственно вернёмся ещё
Наблюдаются в клинике трое моих детей с 2011 г. За все годы не было ни одного нарекания. Врачи доброжелательные, компетентные. Дети без боязни посещали клинику. Отдельная благодарность Григорьевой Л. В. и Мадине Аликовне за лечение моих детей. В клинике комфортная обстановка, отзывчивый персонал. Спасибо Всем за …
Наблюдаются в клинике трое моих детей с 2011 г. За все годы не было ни одного нарекания. Врачи доброжелательные, компетентные. Дети без боязни посещали клинику. Отдельная благодарность Григорьевой Л. В. и Мадине Аликовне за лечение моих детей. В клинике комфортная обстановка, отзывчивый персонал. Спасибо Всем за Вашу работу!
Хотела бы выразить огромную благодарность Григорьевой Л.В. за лечение моего сына. Я боялась больше него. Но ребёнок даже не волновался при лечении зубов.
Спасибо Вам большое!
Сын у неё наблюдается уже не первый год, врач нравится. Ребёнок (с 4 лет) идёт в стоматологию без страха, ( нашли подход)ходим и лечить и выдирать молочные зубы, а не только на профилактику. Врач очень деликатная, улыбчивая, легко находит подход к ребёнку, помогает адаптироваться. Ребенок только к ней идет на прием. Врач от Бога. Большое Вам спасибо.
Отличная стоматология, лечила ребёнка 3,5 года, очень вежливый и приветливый персонал, от ресепшена и до врачей. Огромное спасибо врачу Мадине Аликовне, сын у меня боязливый, с врачами осторожничает, с момента входа в кабинет, Мадина Аликовна все ему показывала и рассказывала, заинтересовала его так что, не было даже намёка на капризы и страхи, очень рекомендую эту стоматологию, соответственно вернёмся ещё
Наблюдаются в клинике трое моих детей с 2011 г. За все годы не было ни одного нарекания. Врачи доброжелательные, компетентные. Дети без боязни посещали клинику. Отдельная благодарность Григорьевой Л. В. и Мадине Аликовне за лечение моих детей. В клинике комфортная обстановка, отзывчивый персонал. Спасибо Всем за Вашу работу!
Хотела бы выразить огромную благодарность Григорьевой Л.В. за лечение моего сына. Я боялась больше него. Но ребёнок даже не волновался при лечении зубов.
Спасибо Вам большое!