Лечение десен
Специализация медицинского центра "Интердентос"– оказание комплексной стоматологической помощи, где особое внимание уделяется лечению десен.
Здоровье наших десен играет ключевую роль в общем состоянии полости рта и может быть решающим фактором для сохранения зубов на долгие годы.
Болезни десен могут прогрессировать незаметно, пока пациент не столкнется с первыми признаками подвижности зубов, когда значительная часть костной ткани уже утрачена. Именно тогда пациент обращается к стоматологу, но, чаще всего это происходит слишком поздно.
Кость, окружающая зубы и десна играет ключевую роль в их поддержании, здоровье этих тканей так же важно, как и состояние зубов. Ведь именно они являются основой, держащей зубы в челюсти. Недостаточное внимание к ним может привести к потере даже абсолютно здорового зуба.
Преимущества лечения в «Интердентос»
В стоматологической сети "Интердентос" вы найдете все необходимое для сохранения безупречной улыбки. Наши квалифицированные специалисты, включая стоматологов, пародонтологов и гигиенистов, постоянно обновляют свои знания и навыки. Мы оснащены современным оборудованием для точной диагностики и эффективного лечения, а также предлагаем выгодные акции и лояльные программы для наших пациентов.
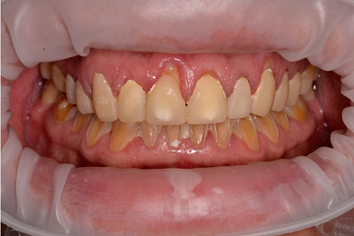
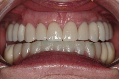
Примеры лечения зубов:
Врач: Козлов Игорь Витальевич
Цены на лечение десен
Наши лицензии:
Симптомы заболевания десен
Симптоматика и заболевания десен подразделяются в зависимости от локализации воспалительного процесса на три основных типа: гингивит, пародонтит и пародонтоз.
Гингивит и пародонтит
Гингивит и пародонтит зачастую обусловлены недостаточной гигиеной, в то время как пародонтоз является результатом атрофического процесса, возникающего на фоне изменений в обмене веществ. Помимо этого, заболевания десен могут быть следствием травмы, вызванной неаккуратной чисткой зубов жесткой щеткой или особенностями слизистой оболочки рта. Воспаление десен часто служит признаком гингивита — состояния, при котором происходит воспаление без нарушения целостности зубодесневого соединения.
Диагностика гингивита включает в себя выявление мягкого или пигментированного налета, а также наличие зубного камня. Симптомы данного заболевания включают в себя кровоточивость, сохранение целостности зубодесневой связки и отсутствие разрушения, характерного для пародонтита.
Лечение гингивита включает в себя профессиональную гигиену полости рта, рекомендуемую проводить не реже дважды в год. Кроме того, рекомендуется улучшить качество домашней гигиены, в том числе использовать зубные нити и ершики для чистки межзубных промежутков. В случае недостаточной терапии гингивит может прогрессировать в пародонтит, что ведет к разрушению зубодесневой связки, повреждению костной ткани и возможной потере зубов. Лечение пародонтита подразделяется на два этапа: первый этап — профессиональная гигиена полости рта, второй — индивидуально подобранный врачом метод, который может быть как консервативным, так и хирургическим.
Пародонтоз
Пародонтоз - редкое заболевание десен, обычно встречающееся у пожилых людей из-за нарушений в обмене веществ в костной ткани. Его развитию способствуют такие состояния, как гипертония, сахарный диабет, заболевания щитовидной железы, сердечно-сосудистые проблемы и другие. Лечение пародонтоза требует усилий группы специалистов, включая терапевта и эндокринолога. Эффективный подход включает в себя восстановление тканей, уничтожение патогенной флоры и лечение основного заболевания.
Важно помнить, что боль в деснах не всегда свидетельствует о проблемах, поэтому рекомендуется посещать стоматолога раз в полгода для регулярного контроля. Это поможет выявить заболевания на ранних стадиях и снизить стоимость лечения, избежав необходимости хирургических вмешательств.
Диагностика при лечении десен
При оценке состояния десен используются различные методики диагностики пародонта:
- измерение глубины пародонтальных карманов, осуществляемое вручную с помощью зонда с делениями или с применением специализированных аппаратов;
- визуальный осмотр;
- рентгенологическое исследование, позволяющее выявить контуры внутрикостного дефекта.
Консервативные и хирургические методы лечения
Методы лечения пародонта подбираются исходя из анализа данных. При глубине кармана 4-6 мм рекомендуется консервативное лечение, включающее удаление зубных отложений и полировку корневой поверхности. В случае обнаружения глубоких пародонтальных карманов — 6 мм и более — предпочтительным является хирургический подход. Консервативное лечение включает механическую чистку, ультразвуковую и лазерную обработку, в то время как хирургический метод предусматривает открытую чистку пародонтального кармана под визуальным контролем. При необходимости реконструкции костного дефекта может быть проведено регенеративное вмешательство или отодвигание десны с последующим швом. При рецессии десны, патологических случаях или уздечках может потребоваться трансплантация ткани с неба для восстановления ее толщины и формы. После лечения важно проводить поддерживающую терапию, включающую гигиену полости рта и межзубные промежутки для предотвращения рецидивов воспаления.
Профилактические меры для здоровья полости рта
Для поддержания здоровья десен необходимо придерживаться нескольких важных правил:
- Регулярно чистите зубы 2-3 раза в день, используя правильную технику чистки.
- Периодически проходите профессиональную чистку зубов в стоматологической клинике для удаления зубного налета и камня.
- Избегайте вредных привычек, таких как курение и употребление алкоголя, которые негативно влияют на состояние десен.
- Следите за своим общим здоровьем, включая правильное питание и регулярные физические упражнения.
- В случае возникновения любых проблем с деснами обращайтесь к стоматологу для профессиональной консультации и лечения.
Эффективное лечение десен в стоматологии "Интердентос" определяется двумя ключевыми факторами: своевременным обращением пациента и высоким профессионализмом наших врачей.
В нашем медицинском учреждении трудятся исключительно опытные специалисты: стоматологи-терапевты, врачи-пародонтологи, хирурги. Применение передовых методик, таких как лазерное лечение, в сочетании с инновационным оборудованием, обеспечивает быстрое восстановление здоровья больных десен.
Мы подберем не только оптимальный индивидуальный план лечения, но и научим правильно ухаживать за полостью рта дома, подбирая подходящие щетку и зубную пасту. Регулярная профессиональная чистка поможет избежать будущих проблем со здоровьем десен и зубов.
Цены на лечение десен доступны для ознакомления на нашем веб-сайте или по запросу по телефону.
Отзывы наших пациентов:
Большое человеческое спасибо! У меня сложная проблема, требующая комплексного решения, но слаженный коллектив помогает в её решении.
Желаю успехов, удачи и крепкого здоровья всему коллективу клиники Интердентос в Балашихе.

группа Вконтакте
канал в Телеграм
Семейная клиника