Коронки на молочные зубы в Балашихе
«Детские коронки» - это современный метод реставрации молочных зубов, позволяющих сохранить функциональность зубок, а также вернуть эстетический вид и здоровую улыбку ребёнку!
Основные преимущества коронок на молочные зубы
- Детские коронки защищают молочные зубы вплоть до смены их постоянными
- Полное восстановлении функциональности
- Сохраняют открытую детскую улыбку и защищают самооценку.
- Нормализуют развитие челюстных костей, благодаря правильному распределению жевательной нагрузки на них
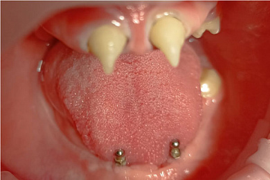
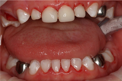
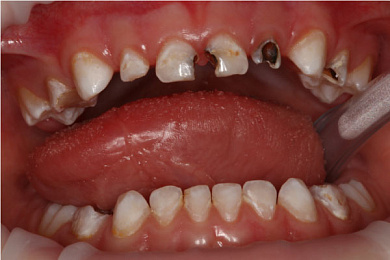
Примеры лечения зубов:
Статьи
Врачи направления:
Цены:
Наши лицензии:
Установка Strip-коронок на молочные зубы за 20 минут:
Strip-коронки – полностью повторяют форму детского зуба, отличаются крайне быстрой установкой и эффективностью. Возможна установка также при переходном прикусе у детей.Как происходит установка Strip-коронок?
Вначале проводится тщательное лечение всех кариозных полостей, проводится гигиеническая чистка для удаления зубного налета.
Затем часть зуба, на которую планируется установка подтачивают всего на 0.5 мм.
Затем одевается специальный колпачок с композитным материалом, который снимают после завершения фотополимеризации.
Процесс самой установки коронок занимает до 20 мин.!
По сравнению с классическими пломбами для молочных зубов, такие коронки имеют гораздо больший срок службы и эффективнее защищают поврежденный зуб.
Отзывы наших пациентов:

группа Вконтакте
канал в Телеграм


Семейная клиника