Ежедневно с 8:00 до 21:00

+7 (495) 987-21-21

пр. Ленина, д.21

+7 (495) 104-42-00

Отдел качества

+7 (495) 801-68-68

Общий номер

+7 (495) 987-21-21

пр. Ленина, д.21

+7 (495) 104-42-00

Отдел качества

Ежедневно с 8:00 до 21:00

Взрослая стоматология
Протезирование

Несъемное протезирование

Съемное протезирование

+7 (495) 801-68-68

Общий номер

+7 (495) 987-21-21

пр. Ленина, д.21

+7 (495) 104-42-00

Отдел качества

Взрослая стоматология

Реставрация молочных зубов

Красивая улыбка – это прерогатива не только взрослых! В нашей стоматологической клинике «Интердентос» опытные доктора подарят голливудскую улыбку даже самым маленьким пациентам!

9 клиник

9 клиник

В 5 городах подмосковья:
Королёв, Мытищи, Щёлково, Пушкино и Балашиха.
с 1998 года

с 1998 года

Многолетний накопленный опыт и собственная научная база позволяет решать даже самые сложные случаи
250 тысяч пациентов

250 тысяч пациентов

Доверили нам своё здоровье.
80% из них
— пришли к нам по рекомендациям
-0

Почему нужно лечить и восстанавливать молочные зубы?

Детская эстетическая стоматология включает в себя несколько основных направлений:

  • исправление прикуса;
  • замещение отсутствующих зубов;
  • реставрация зубов.

Обычно эстетическая стоматология требуется, когда зуб полностью или частично разрушен – относиться к этой проблеме несерьёзно не стоит, ведь отсутствие зуба и малышей приводит к смещению зубного ряда и возникновению проблем с прикусом, щелей и т.д.

Быстрая запись на приём

Оставьте номер телефона и администратор перезвонит Вам в течение 5 минут.

img

Спасибо!

Наши специалисты свяжутся с вами в ближайшее время.

Ежедневно с 8:00 до 21:00

+7 (495) 801-68-68

Общий номер

+7 (495) 987-21-21

пр. Ленина, д.21

+7 (495) 104-42-00

Отдел качества

Врачи услуги

Все врачи

Наше оборудование

Дентальный микроскоп

Дентальный микроскоп

Использование ультрасовременных дентальных микроскопов создает уникальные возможности для спасения «безнадежных зубов». Микроскопы:  Advanced,  Karl Kaps,  Carl Zeiss EXTARO 300, Prima D с вариоскопом.
Sleeper One - электронная система анестезии

Sleeper One - электронная система анестезии

Система анестезии нового поколения, объём, скорость и давление подачи препарата контролируется электронной системой. Специальные иглы обеспечивают безболезненность и снижают травматичность тканей.

Цены на реставрацию молочных зубов в Балашихе

Все цены
  • Восстановление молочного зуба

    6697

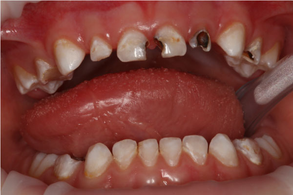
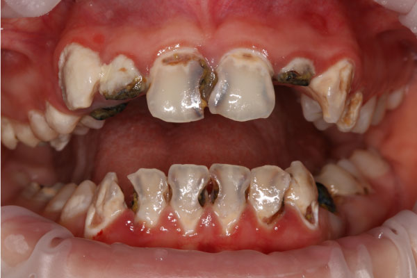
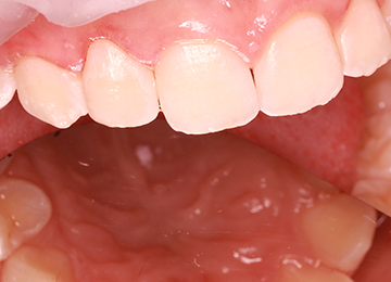
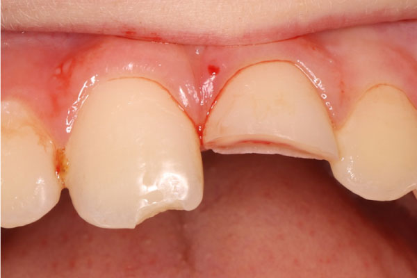
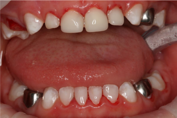
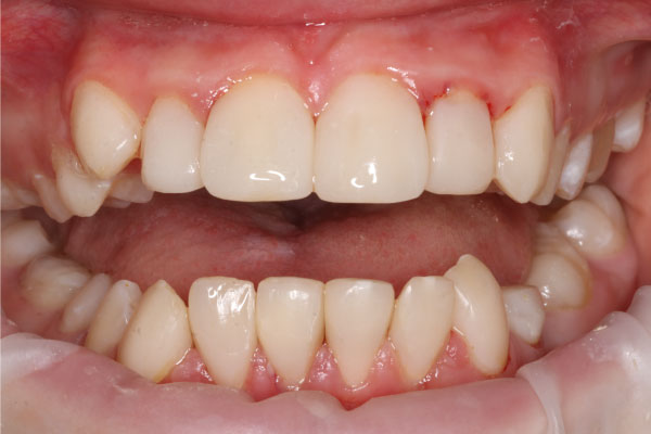
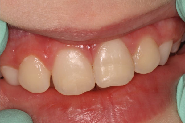
Реставрация молочных зубов: фото До и После

Фото ДО
Фото ПОСЛЕ

Наведите для просмотра

Реставрация молочных зубов

Фото ДО
Фото ПОСЛЕ

Наведите для просмотра

Реставрация молочных зубов

Фото ДО
Фото ПОСЛЕ

Наведите для просмотра

Реставрация молочных зубов

Фото ДО
Фото ПОСЛЕ

Наведите для просмотра

Реставрация молочных зубов

Фото ДО
Фото ПОСЛЕ

Наведите для просмотра

Реставрация молочных зубов

Фото ДО
Фото ПОСЛЕ

Наведите для просмотра

Реставрация молочных зубов

Фото ДО
Фото ПОСЛЕ

Наведите для просмотра

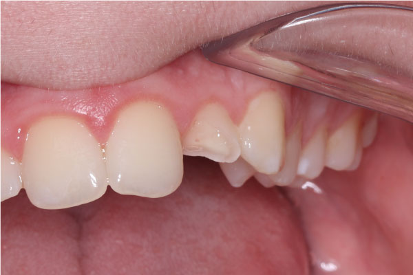
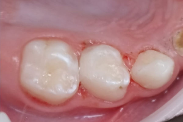
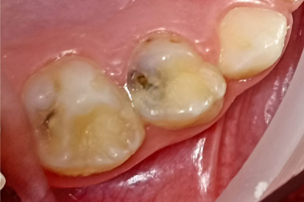
Реставрация 12 зуба ребёнка композитом

Наши клиники

Клиника в г. Балашиха

Инновационные методы

В нашей клинике используются только инновационные методы и современное оборудование, а также биологически совместимые расходные материалы, так что результат будет безупречен!

Реставрация помогает восстановить функцию зубов, избежать вышеуказанных рисков, а также в будущем исключить возможность неправильного произношения отдельных звуков и слов, связанных с проблемами с зубным рядом.

Доктора клиники «Интердентос» принимают решение о методике реставрации зуба индивидуально для каждого пациента. Это могут быть:

  • детские коронки;
  • пломбирование;
  • использование затвердевающего на свету композита и т.д.

Обращаясь к нам, вы делаете выбор в пользу красоты и здоровья вашего малыша!